[Ortho]

VlaD orthoforum weborto.net
21 00:17:08 YEKT 2014


Здравствуйте, уважаемые коллеги.
Чтобы ответить на вопрос«оставлять как есть  или переделывать», 
необходимо знать какой философии остеосинтеза придерживается лечащий 
врач. Если«может быть и срастётся», то результат остеосинтеза 
допустимый. Если ставится цель  получать гарантированные воспроизводимые 
результаты для каждого оперированного перелома в виде сращения и 
отсутствия деформаций, то такой остеосинтез нельзя признать приемлемым. 
  Четыре причины, по которым, с моей точки зрения,«так оставлять нельзя»:
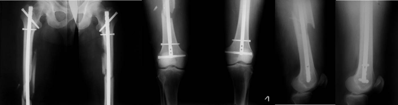
1.	Деформация. Вальгусная деформация в месте перелома 12 градусов. Как 
её расценивать у двадцатидвухлетнего пациента: как допустимую или нет? 
Сложный вопрос. Но это только часть проблемы.  Вальгусная деформация в 
послеоперационном периоде может увеличиться на 6-7 градусов, поскольку 
перелом ниже истмуса  и диаметр костномозгового канала на входе 
дистального отломка намного больше диаметра стержня. Поэтому начинает 
играть роль разность в диаметрах блокирующих винтов (3,5 мм без резьбы) 
и отверстий для блокирования в стержне (4,5 мм). Из-за этой разницы 
возникает  нестабильность дистального отломка во фронтальной плоскости с 
общим объёмом движений«варус-вальгус»   в  12-14 градусов.  Это легко 
доказать математически. Я думаю, что доктор определит его и клинически, 
придавая дистальному отделу конечности варусное или вальгусное 
положение. Поэтому в послеоперационном периоде можно ожидать вальгусную 
деформацию до 20 градусов,  что является, с моей точки зрения, 
неприемлемым результатом лечения для специализированного отделения.
2.	Стабильность. По вышеперечисленной причине отсутствует и стабильность 
между отломками, что ставит под угрозу конечный результат лечения– 
сращение перелома.
3.	Нагрузка. Трудно рекомендовать больному  хоть какую-то нагрузку при 
таком остеосинтезе.  Нагрузку на дистальном конце стержня несёт только 
один винт в круглом отверстии с диаметром  без резьбы 3,5 мм, что крайне 
недостаточно.  Второй винт проведен некорректно, по нижнему краю 
овального отверстия. Для нагрузки он потерян. Если он вводился таким 
образом намеренно,  для выполнения в последующем динамизации, то 
динамизация при таком переломе вообще противопоказана.  Хотелось бы 
видеть и проксимальное блокирование. Таким образом, выпадает очень 
важный элемент в лечении блокированным остеосинтезом–  нагрузка.
4.	Судя по количеству отверстий в кости–  дистальное блокирование далось 
нелегко. Прочность кости в этом месте снижена. В процессе реабилитации 
этот участок кости находится под угрозой и нельзя исключить перелома на 
уровне дистальных блокирующих винтов. Поэтому напрашивается остеосинтез 
более длинным стержнем с дистальным блокированием в мыщелках бедренной 
кости. Мы предпочитаем  вводить стержень на всю длину кости и 
блокирование выполнять в мыщелках бедра.
Есть ещё несколько причин, по которым«так оставлять нельзя», но пост 
получается слишком длинным. Не в качестве пиара, а только для пользы 
дела - пример из личной практики трёхнедельной давности. Переломы обеих 
бёдер фиксированы стержнями той же фирмы, что и в обсуждаемом случае. 
Остеосинтез обоих бёдер выполнен за одну операцию продолжительностью 2 
часа 40 минут. Положение больного на боку на обычном хирургическом 
столе. Репозиция отломков в«custom-made»  спицевом  репозиционном 
аппарате  на двух спицах с корректором угловых деформаций. Определение 
точки ввода и проведение спицы, как правило,  с первой попытки  с 
помощью«custom-made»  прицельного устройства. Рентгеновский снимок 
только для подтверждения расположения спицы.  Ни на одном этапе операции 
режим прямой флюроскопии не используется. Введение стержня на уже 
репонированном переломе.  Самое дистальное отверстие в стержне 
предварительно до операции рассверлено до диаметра 6,55 мм и при 
дистальном блокировании в  него вводится по предварительно проведенной 
спице канюлированный блокирующий винт  диаметром 6,5 мм той же фирмы. 
Введением  такого винта решается сразу три задачи. Во-первых, 
исключается«шат»  во фронтальной плоскости, поскольку разница между 
диаметром отверстия и диаметром винта всего 0,05 мм и во-вторых, 
отпадает необходимость во введении винта в сагитальной плоскости, и 
в-третьих, он способен без проблем держать нагрузку при ходьбе. 
Дистальное блокирование с помощью«custom-made»  механического 
прицельного устройства, не требующего не только режима прямой 
флюроскопии, но и вообще рентгенологического подтверждения попадания 
блокирующих винтов, что значительно сокращает время вмешательства. 
Соответствующее дистальному и проксимальное блокирование,  чтобы 
обеспечить больному сразу полную нагрузку на ноги.  Вертикализация 
больного на пятые сутки после операции, контрольная рентгенограмма, 
которую вы видите, на двенадцатые сутки перед выпиской. Больной был уже 
неделю на ногах.  Понимаю, что у каждого доктора свой опыт и 
предпочтения в выполнении блокированного остеосинтеза и свои 
представления о нём. Мы пользуемся именно такой методикой и техникой, к 
которым мы шли более десяти лет и которая на протяжении десятков 
операций  даёт предсказуемые результаты лечения в виде отсутствие 
деформаций и несращений. Но, как известно, на вкус и на цвет товарищей 
нет. Правда у каждого своя.
С уважением, VlaD.

-----------   -----------
Вложение не в текстовом формате было извлечено…
Имя     : nailing.jpg
Тип     : image/jpeg
Размер  : 24414 байтов
Описание: отсутствует
Url     : http://weborto.net:8080/pipermail/ortho/attachments/20140120/afc5aea5/attachment-0001.jpg 


Ortho