[Ortho] -

orthoforum weborto.net
29 14:32:55 YEKT 2014


Уважаемые коллеги!

События заставили меня обратиться в интернет-сообщество 
травматологов-ортопедов с разъяснением  ситуации, сложившейся в связи с 
публикацией информации по лечению пациентки с переломом локтевого 
отростка («один доктор»  09.01.14). В данной публикации почему-то очень 
много неточностей, и откровенных искажений фактов, что, естественно, 
смутило некоторых пользователей форума.
   Обстоятельства дела. Пациентка Ш., 85 лет, поступила в отделение с 
оскольчатым переломом локтевого отростка с диастазом отломков. Из 
сопутствующей патологии: гипертоническая болезнь III ст.Б,  АГ III ст, 
сахарный диабет, варикозное расширение вен н/конечностей, костный 
анкилоз левого локтевого сустава в порочном положении (после травмы 
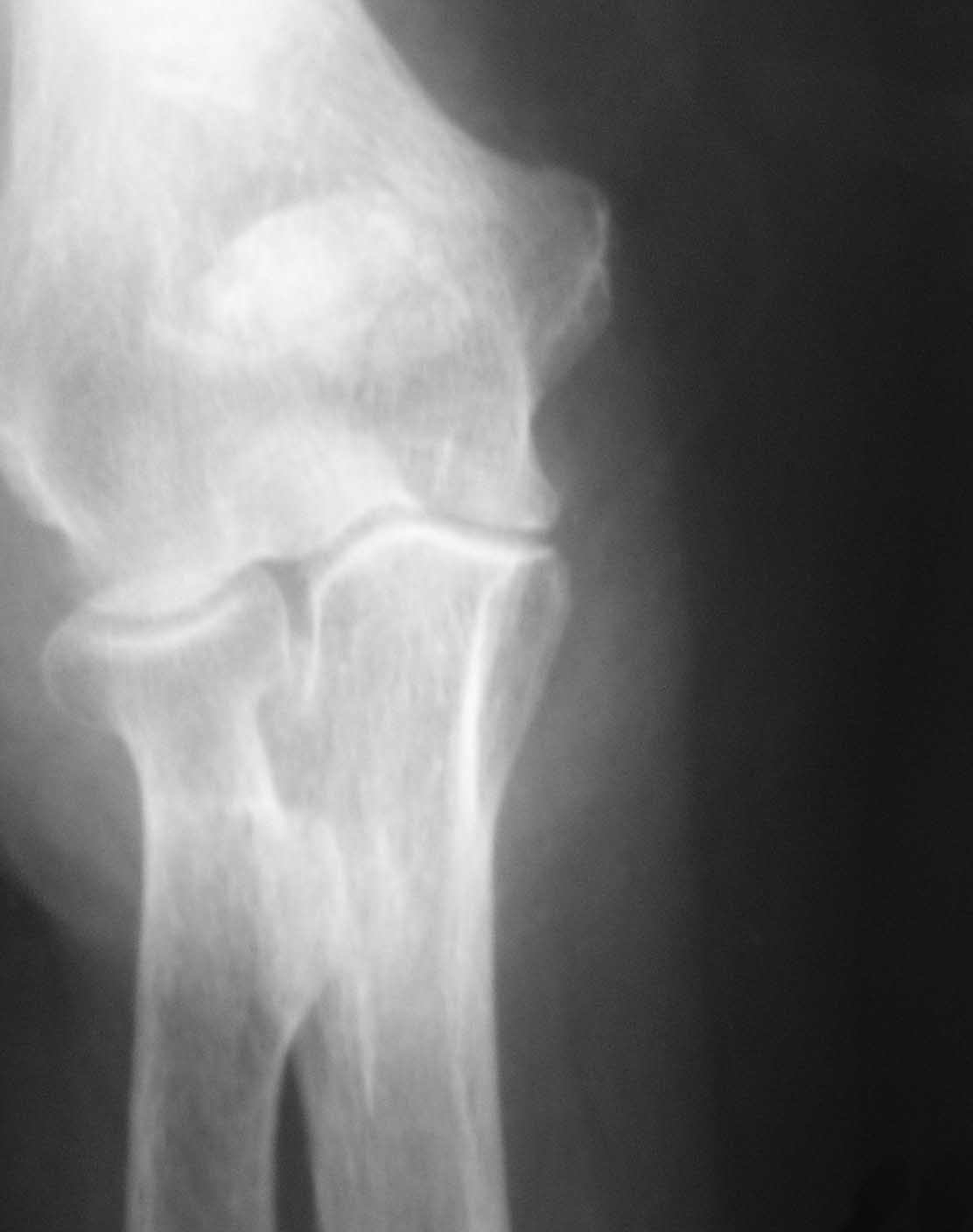
более 30 лет назад). При более  детальном осмотре рентгенограмм выявлен 
многооскольчатый перелом локтевого отростка с диастазом отломков, 
остеопороз (см. фото 1,2).
Первоначально на клиническом  разборе  планировалась костная 
аутопластика с фиксацией пластинкой или аппаратом внешней фиксации. 
Однако в течение нескольких дней у больной систематически отмечался 
подъем АД до 200-220 мм.рт.ст., трудно снимаемый гипотензивной терапией, 
назначенной по рекомендации терапевта.  Через 1 неделю п/травмы больная 
взята в операционную и…   снята со стола с очередным гипертоническим 
кризом (АД 230/100 мм.рт.ст.).  Подключена терапия, на этот раз 
назначенная кардиологом.  Повторное обсуждение случая с врачами 
отделения. Предложения: или от операции отказаться, или выполнить 
остеосинтез локтевого отростка, в любом случае - без наркоза. 
Учитывая«злокачественное»  течение гипертонической болезни с 
исключительно лабильной гемодинамикой в ответ на малейшее эмоциональное 
волнение пациентки, решено выполнить остеосинтез спицами с проволочной 
петлей и костной аутотрансплантацией из дистального отломка локтевой 
кости (из этого же оперативного доступа) под проводниковой анестезией. 
АД удалось стабилизировать за 2 дня до операции. Через 2 недели после 
травмы больная вновь взята в операционную.  Выполнена верхняя 
проводниковая анестезия по Соколовскому. Непосредственно перед началом 
операции  на операционном столе у больной опять отмечен подъем АД до 190 
мм.рт. ст. .  В течение 30 минут анестезиологом проводилась коррекция АД 
и с давлением 150 мм.рт.ст.  операция начата. После выполнения заднего 
доступа по Фарабефу  обнажена зона перелома. Выявлен раздробленный 
перелом локтевого отростка с множеством промежуточных мелких костных 
фрагментов и отсутствием губчатой кости (остеопороз), проксимальный 
отломок представлен 3–мя отломками размером 1-1,5см каждый, местами 
связанных между собой надкостницей.  В момент ревизии костных отломков 
АД упало до 100/60 мм.рт. ст. Решено отказаться от выполнения костной 
аутопластики, и как можно быстрее заканчивать операцию.  Произведен 
остеосинтез локтевого отростка двумя спицами и проволочной петлей, при 
этом обнаружено, что малейшее стягивание петли, проведенной в 
виде«обычной восьмерки»  ведет к деформации локтевого отростка за счет 
компрессии (сминания) промежуточных фрагментов.  В связи с этим спицы 
проведены перекрестно друг к другу,  а проволока закручена вокруг 
выстоящих концов спиц (для увеличения стабильности проксимальных 
отломков), при этом закрученные концы ее не скушены, а уложены вдоль 
локтевого отростка для предупреждения  вторичного смещения 
промежуточных фрагментов.  Продолжительность операции–  35 минут.  На 
контрольных рентгенограммах (доставленных  в операционную уже после 
ушивания раны)–  отломки в положении контакта, положение костных 
отломков локтевой кости удовлетворительное (см. фото 3,4). Гипсовая 
иммобилизация не проводилась.  Правая верхняя конечность подвешена в 
косыночной повязке.
В послеоперационном периоде под личным контролем проводилась разработка 
движений в суставах правой верхней конечности. Рана зажила первичным 
натяжением. Больная выписана из клиники на 12 сутки после операции. 
Непосредственно в день выписки по настоянию«одного доктора»   выполнена 
рентгенография локтевого отростка, на которой обнаружено расхождение 
костных отломков (на 2-3 мм (см. фото 5). Назначена врачебная 
внутрибольничная  конференции по данному случаю, которая и проведена в 
ноябре 2013 года. На конференции приведены убедительные доводы об 
особенности клинического случая, обоснована необходимость остеосинтеза 
перекрестно проведенными спицами и проволокой, озвучены заключения двух 
известных на всю Россию профессоров-травматологов,  которые подтвердили, 
что  на рентгенограммах, сделанных в операционной«положение костных 
отломков локтевой кости удовлетворительное. Костные отломки в состоянии 
контакта друг с другом. Ось локтевой кости правильная. Учитывая 
преклонный возраст пациентки, следует признать возможным и допустимым 
выполненный вариант остеосинтеза локтевого отростка проволочной петлей и 
двумя спицами». Мнение«одного доктора»  о необходимости повторной 
операции на конференции не поддержано ни одним из врачей. В решении 
конференции указано, что следует продолжить консервативное лечение 
пациентки под контролем врачей.
В последующие недели  под личным контролем проводилась разработка 
движений в локтевом суставе. В конце декабря при контрольном осмотре в 
присутствии еще одного профессора и самого«одного доктора»  выявлено: 
движения в локтевом суставе–  80/150°, пациентка довольна проводимым 
лечением, выполняет этой рукой все основные действия (умывание, 
причесывание, прием пищи и пр.), болей в локтевом суставе нет. На 
рентгенограммах–  смещение костных отломков не увеличилось, положение 
металлофиксаторов–  стабильное (см. фото 6). Промежуточный 
функциональный результат вполне удовлетворительный (фото 7,8).  В 
настоящее время разработка движений в локтевом суставе продолжается.
Комментарии к случаю:
1) перелом - не оскольчатый, а раздробленный, с  повреждением большей 
части локтевого отростка (С2 по А0, Тип  IIIB по Mayo) с явлениями 
остеопороза, сминания промежуточных костных фрагментов.  Подтверждением 
этому является наличие промежуточных костных фрагментов неопределенной 
формы, несоответствующей суставной части локтевого отростка, а также 
хорошо видимый передний подвывих  костей предплечья (см. фото 2).
2) При раздробленных переломах локтевого отростка у пожилых людей до сих 
пор методом выбора является удаление проксимальных осколков локтевой 
кости и шов сухожилия трехглавой с дистальным отломком локтевой кости 
(см. Национальное рук-во«Травматология», 2008). Между тем,  еще Каплан 
А.В. (1979) предупреждал, что«резекции  локтевого отростка следует 
избегать в тех случаях, когда одновременно с переломом имеется вывих, 
так как после удаления локтевого отростка могут повторяться передние 
вывихи предплечья».  Удаление локтевого отростка у данной пациентки 
добавило бы смещение предплечья кпереди  к имеющемуся переднему 
подвывиху и привело бы к вывиху костей предплечья, и неблагоприятному 
функциональному  результату. В связи с этим данный метод лечения было 
решено не применять.   Напомню, что левая рука пациентки находится в 
положении костного анкилоза в локтевом суставе под углом 100°, и 
восстановление функции правой верхней конечности имело для пациентки 
принципиальное значение (качество жизни).
3) Применение любого из вариантов остеосинтеза (пластиной, спицами и 
петлей или аппаратом) в данном случае должно было быть сопряжено с 
использованием костной аутопластики, для замещения  полости, 
образовавшейся вследствие остеопороза проксимального конца локтевого 
отростка (похожей на«яичную скорлупку», расколотую на множество мелких 
осколков).  Как уже было сказано выше, из-за тяжести соматического 
состояния пациентки выполнить костную аутопластику не представлялось 
возможным. Ни один из перечисленных  методов«в одиночку»   не обеспечил 
бы стабильности отломков. Особенно это касается применения пластины. Как 
известно, использование пластины в условиях раздробленных переломов при 
наличии остеопороза, в принципе, неэффективно. Подтверждением сказанному 
является предложение ассоциации АО использовать для остеосинтеза С2 
повреждений–  остеосинтез спицами и проволочной петлей, а не пластиной.
4) Вероятно, следует напомнить,  что продольная (по оси локтевой кости) 
компрессия в случае раздробления костных отломков недопустима. Именно в 
связи с этим  проведение двух  спиц параллельно друг другу со 
стягивающей петлей является противопоказанием при многооскольчатых (и 
тем более раздробленных переломах).  Проведение двух спиц не 
параллельно, а перекрестно друг к другу как раз и не дает компрессии в 
момент натяжения петли. В свою очередь, проволока  в этом случае 
выполняет  роль стабилизатора положения одновременно и спиц, и 
промежуточных костных отломков, предотвращая смещение их в стороны. 
Подтверждением этому являются этапные рентгенограммы (выполненные в 
конце декабря), на которых отмечено стабильное положение костных 
отломков и металлофиксаторов,  несмотря на разработку движений в суставе.
Практически, все эти вышеизложенные позиции были озвучены на 
внутрибольничной конференции, проведенной по разбору данного случая в 
конце октября 2013 г.
В заключение, хочу выразиться и по поводу этики:
1) Операция была сделана мной по просьбе зав. отделением, где находилась 
пациентка.«Один доктор»  имел все условия, чтобы выполнить операцию этой 
необычной пациентке самому.
2) Все обстоятельства данного случая досконально известны«одному 
доктору». Этот врач видел и функциональный результат у пациентки, и 
рентгенограммы больной, сделанные в конце декабря. По мнению еще одного 
  профессора, присутствовавшего при осмотре пациентки в декабре, 
функциональный результат вполне удовлетворительный, и естественно, не 
требует каких-либо повторных оперативных вмешательств (см. фото 7,8). 
Больная очень довольна результатом лечения, рукой достает до лица, 
обслуживает себя, может умываться, причесаться, одеваться и пр.
Признателен врачам, чутко определившим, в чем истинная суть дела, и 
высказавшим свою бескомпромиссную позицию по отношению к данной 
ситуации. СПАСИБО!





Тот самый профессор
.

-----------   -----------
Вложение не в текстовом формате было извлечено…
Имя     : рис. 4.JPG
Тип     : image/jpeg
Размер  : 68895 байтов
Описание: отсутствует
Url     : http://weborto.net:8080/pipermail/ortho/attachments/20140129/935f244a/attachment-0008.jpeg 
-----------   -----------
Вложение не в текстовом формате было извлечено…
Имя     : рис. 5.JPG
Тип     : image/jpeg
Размер  : 114419 байтов
Описание: отсутствует
Url     : http://weborto.net:8080/pipermail/ortho/attachments/20140129/935f244a/attachment-0009.jpeg 
-----------   -----------
Вложение не в текстовом формате было извлечено…
Имя     : Рис.1.JPG
Тип     : image/jpeg
Размер  : 51414 байтов
Описание: отсутствует
Url     : http://weborto.net:8080/pipermail/ortho/attachments/20140129/935f244a/attachment-0010.jpeg 
-----------   -----------
Вложение не в текстовом формате было извлечено…
Имя     : Рис.2.JPG
Тип     : image/jpeg
Размер  : 68714 байтов
Описание: отсутствует
Url     : http://weborto.net:8080/pipermail/ortho/attachments/20140129/935f244a/attachment-0011.jpeg 
-----------   -----------
Вложение не в текстовом формате было извлечено…
Имя     : рис.3.JPG
Тип     : image/jpeg
Размер  : 71084 байтов
Описание: отсутствует
Url     : http://weborto.net:8080/pipermail/ortho/attachments/20140129/935f244a/attachment-0012.jpeg 
-----------   -----------
Вложение не в текстовом формате было извлечено…
Имя     : фото 6.JPG
Тип     : image/jpeg
Размер  : 199500 байтов
Описание: отсутствует
Url     : http://weborto.net:8080/pipermail/ortho/attachments/20140129/935f244a/attachment-0013.jpeg 
-----------   -----------
Вложение не в текстовом формате было извлечено…
Имя     : фото 7.JPG
Тип     : image/jpeg
Размер  : 186609 байтов
Описание: отсутствует
Url     : http://weborto.net:8080/pipermail/ortho/attachments/20140129/935f244a/attachment-0014.jpeg 
-----------   -----------
Вложение не в текстовом формате было извлечено…
Имя     : фото8 .JPG
Тип     : image/jpeg
Размер  : 172400 байтов
Описание: отсутствует
Url     : http://weborto.net:8080/pipermail/ortho/attachments/20140129/935f244a/attachment-0015.jpeg 


Ortho