[Ortho] Остеомиелит бедро после БИОС

Денис Магсумов orthoforum на weborto.net
Чт Июл 3 00:18:15 YEKST 2014


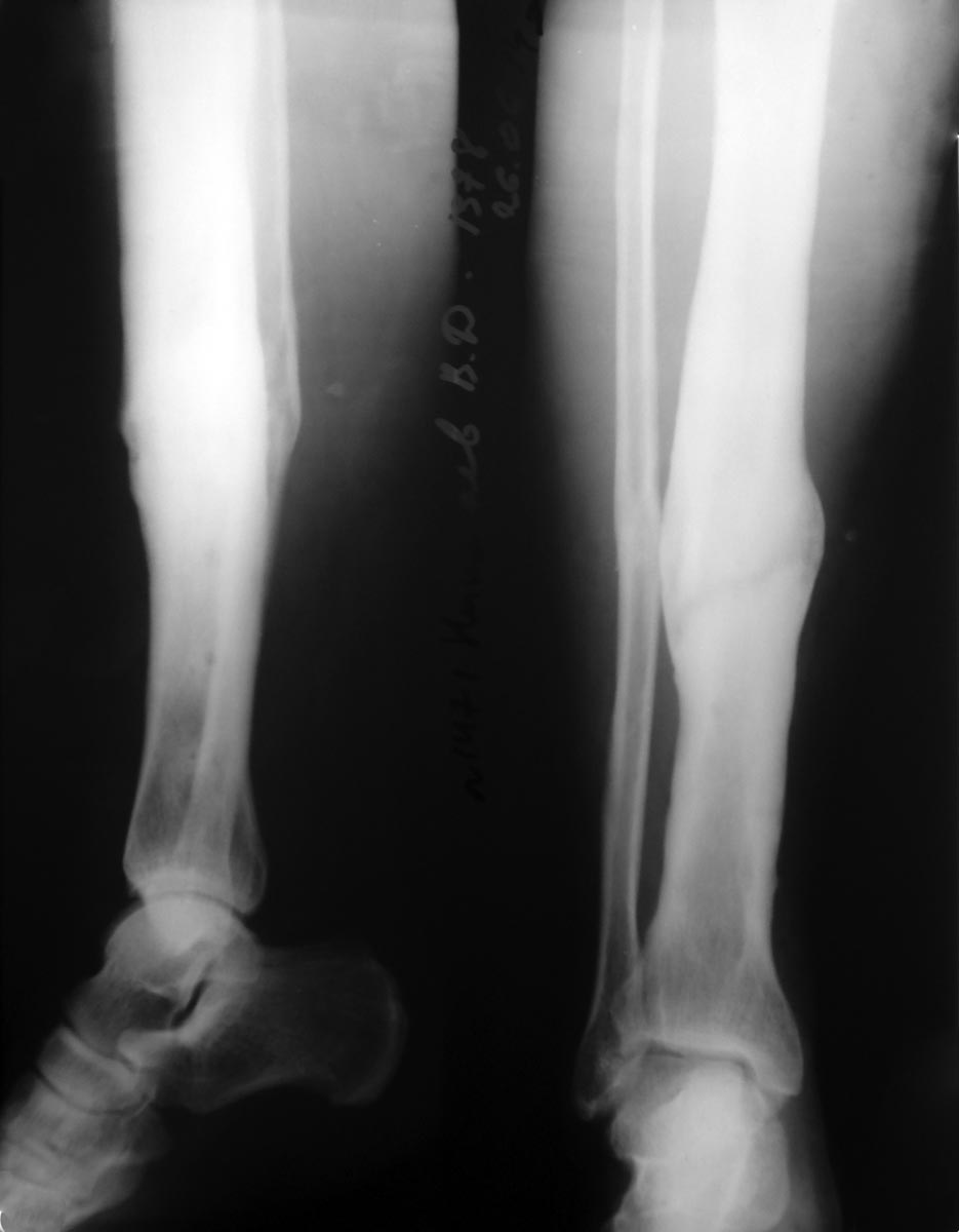
У меня недавно был на консультации подобный больной. 4 года назад ДТП, в 
результате которого открытый оскольчатый перелом костей голени в средней 
трети. Был установлен АВФ с переходом на БИОС. Через год после операции 
открылся свищ в нижней трети голени в проекции блокирующих винтов. В 
течение 3 лет свищ периодически открывается. Через 2 года после 
появления свища была выполнена операция по удалению гвоздя. Но проблему 
это не решило. Думаю о следующем плане обследования и лечения: 1. КТ 
костей голени; 2. Фистулография; 3. Некрсеквестрэктомия с установкой бус 
на 5 дней.
Один вопрос: в наличии цемент с гентамицином: средней и низкой вязкости. 
Какой использовать лучше?
P.S. На рентгенограммах состояние на сегодняшний день
Денис Магсумов

----------- следущая часть -----------
Вложение не в текстовом формате было извлечено…
Имя     : DSC07351_НБМ.jpg
Тип     : image/jpeg
Размер  : 59652 байтов
Описание: отсутствует
Url     : http://weborto.net:8080/pipermail/ortho/attachments/20140703/11aac1d4/attachment-0001.jpg 


Подробная информация о списке рассылки Ortho