[Ortho] Инфекционные осложнения

Gurgen orthoforum на weborto.net
Вс Июл 13 04:54:21 YEKST 2014


Уважаемые коллеги-форумчане! У кого был такой случай?	

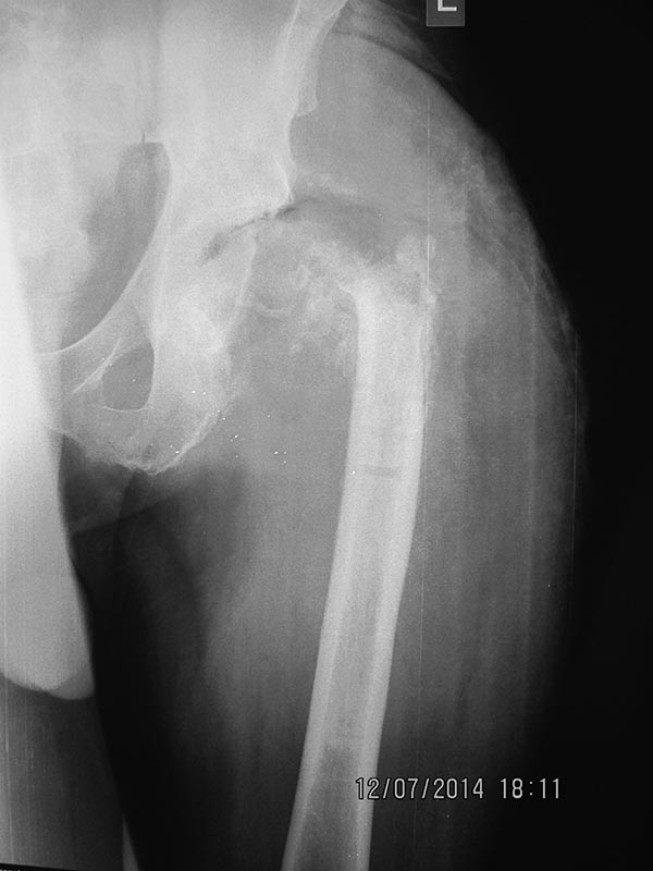
50-летний мужчина, в начале апреля по пьяни автоаврия, реанимация. 
Закрытый чрезвертельный переломовывих бедра с переломом вертлужрой 
впадины с нейропатией седалищного нерва. Только через 10 дней смогли 
прооперировать ! Остеосинтез вертлужной впадины цепочкой АО, DHS, вывих 
вправлен. На 7-й день с проксимального угла раны появилось серозное 
отделяемое, через 3 дня швы с проксимальной половины раны удалены, еще 
через 3 дня остальные, до фасции. Через несколько дней перешли на 
вакуумирование при помощи губки и Steri-drape- а. Рана начала быстро 
зажиаать, однако, экссудат стал вонючим (тяжелый сырный запах). По 
анализу энтеробактер. Через 3 недели после синтеза - первая ревизия, в 
голвке и вокруг имплантатов - вонючий желтый гной. Все железо и головка 
удалены, дренажи, кожа ушита. Однако, промывание не удалось, 
неэффективная эвакуация, швы удалены. Затем опять пара ревизий, 
каждодневные перевязки, но почти каждый день гной из бедренного канала 
или вертлужной впадины, хотя рана обильно гранулирует. У кого какие мнения?
Gurgen

----------- следущая часть -----------
Вложение не в текстовом формате было извлечено…
Имя     : и?ЪПВТБЦЕОИ?Е.jpg
Тип     : image/jpeg
Размер  : 63528 байтов
Описание: отсутствует
Url     : http://weborto.net:8080/pipermail/ortho/attachments/20140713/66612069/attachment-0001.jpg 


Подробная информация о списке рассылки Ortho