[Ortho] перелом бедра с исходной деформацией

Gurgen orthoforum на weborto.net
Пн Июл 21 20:33:34 YEKST 2014


For Maxim,
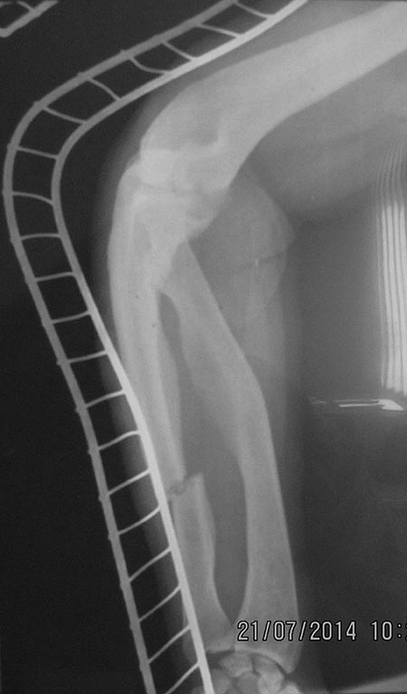
Выкладываю, как и обещал. За репозицию педплечья не осуждайте!
Gurgen


----------- следущая часть -----------
Вложение не в текстовом формате было извлечено…
Имя     : IMG_2890.jpg
Тип     : image/jpeg
Размер  : 53053 байтов
Описание: отсутствует
Url     : http://weborto.net:8080/pipermail/ortho/attachments/20140721/a09be377/attachment-0007.jpg 
----------- следущая часть -----------
Вложение не в текстовом формате было извлечено…
Имя     : IMG_2891.jpg
Тип     : image/jpeg
Размер  : 44480 байтов
Описание: отсутствует
Url     : http://weborto.net:8080/pipermail/ortho/attachments/20140721/a09be377/attachment-0008.jpg 
----------- следущая часть -----------
Вложение не в текстовом формате было извлечено…
Имя     : IMG_2892.jpg
Тип     : image/jpeg
Размер  : 54362 байтов
Описание: отсутствует
Url     : http://weborto.net:8080/pipermail/ortho/attachments/20140721/a09be377/attachment-0009.jpg 
----------- следущая часть -----------
Вложение не в текстовом формате было извлечено…
Имя     : IMG_2893.jpg
Тип     : image/jpeg
Размер  : 46351 байтов
Описание: отсутствует
Url     : http://weborto.net:8080/pipermail/ortho/attachments/20140721/a09be377/attachment-0010.jpg 
----------- следущая часть -----------
Вложение не в текстовом формате было извлечено…
Имя     : IMG_2894.jpg
Тип     : image/jpeg
Размер  : 49086 байтов
Описание: отсутствует
Url     : http://weborto.net:8080/pipermail/ortho/attachments/20140721/a09be377/attachment-0011.jpg 
----------- следущая часть -----------
Вложение не в текстовом формате было извлечено…
Имя     : IMG_2895.jpg
Тип     : image/jpeg
Размер  : 49652 байтов
Описание: отсутствует
Url     : http://weborto.net:8080/pipermail/ortho/attachments/20140721/a09be377/attachment-0012.jpg 
----------- следущая часть -----------
Вложение не в текстовом формате было извлечено…
Имя     : IMG_2896.jpg
Тип     : image/jpeg
Размер  : 62141 байтов
Описание: отсутствует
Url     : http://weborto.net:8080/pipermail/ortho/attachments/20140721/a09be377/attachment-0013.jpg 


Подробная информация о списке рассылки Ortho