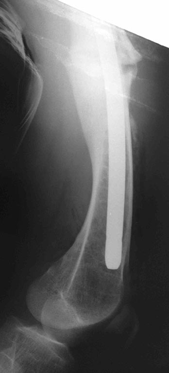
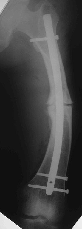
[Ortho] перелом бедра с исходной деформацией

Maxim Agalakov orthoforum на weborto.net
Ср Июл 23 15:35:15 YEKST 2014


Сегодняшние снимки из операционной, подходящей пластины не было, а 
гвоздь был.
Maxim Agalakov


----------- следущая часть -----------
Вложение не в текстовом формате было извлечено…
Имя     : 1.jpg
Тип     : image/jpeg
Размер  : 30486 байтов
Описание: отсутствует
Url     : http://weborto.net:8080/pipermail/ortho/attachments/20140723/311c71ab/attachment-0021.jpg 
----------- следущая часть -----------
Вложение не в текстовом формате было извлечено…
Имя     : 2.jpg
Тип     : image/jpeg
Размер  : 24778 байтов
Описание: отсутствует
Url     : http://weborto.net:8080/pipermail/ortho/attachments/20140723/311c71ab/attachment-0022.jpg 
----------- следущая часть -----------
Вложение не в текстовом формате было извлечено…
Имя     : 3.jpg
Тип     : image/jpeg
Размер  : 37076 байтов
Описание: отсутствует
Url     : http://weborto.net:8080/pipermail/ortho/attachments/20140723/311c71ab/attachment-0023.jpg 


Подробная информация о списке рассылки Ortho