[Ortho] Многооскольчатый перелом бедра

Михаил orthoforum на weborto.net
Ср Июл 23 18:34:13 YEKST 2014


Доброго времени суток, уважаемые коллеги! Просьба помочь разобраться в 
следующей
ситуации.

Пациентка К., 23 л., красивая девушка, уроженка одного из удаленных 
южных регионов России.
Травма 31.12.13 в результате ДТП (столкновение а/машин). Находилась на 
лечении в нашем травматологическом отделении со следующим диагнозом: 
Сочетанная травма: ОЧМТ: Ушиб головного мозга легкой степени. Перелом 
передней стенки лобной пазухи со смещением отломков. Перелом латеральной 
стенки левой орбиты без смещения отломков. Ушибленные раны
левого верхнего века. Ушиб левого легкого. Закрытое 
вертикально-нестабильное повреждение таза: трансфораминальный перелом 
крестца слева, частичный разрыв левого крестцово-подвздошного 
сочленения, вертикальный оскольчатый перелом крыла левой подвздошной 
кости со смещением отломков, поперечный перелом левой вертлужной впадины без
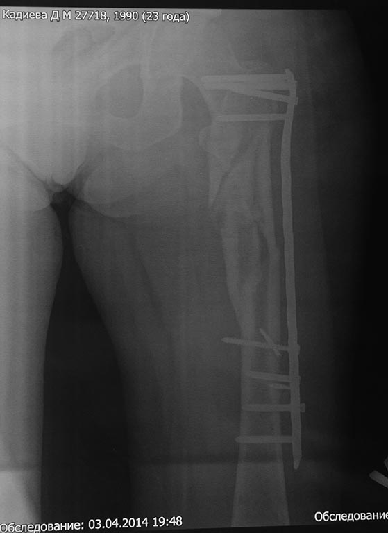
смещения отломков. Закрытый многооскольчатый перелом левой бедренной 
кости в в/3 и с/3 со смещением отломков. Травматический шок II ст. При 
поступлении (снимок): АВФ типа "передняя рама" на кости таза с блоком на 
бедренную кость, ПХО ран. Лечение в условиях реанимации. По приказам о 
травмцентрах таких пациентов мы должны отправлять в травмцентр I уровня 
(областная больница). Однако с некоторых пор все разговоры там о 
переводе (стыдно за коллег) начинаются со слов: "А железку он(она) 
купит?" и озвучивается родственникам сумма с 4-5 нулями. Пациентка и ее 
родители к состоятельным не относятся. Поэтому дальнейшее лечение
проходило у нас. Кости таза фиксированы канюлированными винтами и АВФ. 
Предполагался БИОС бедренной кости, однако из-за отсутствия в больнице 
современных имплантов (угадайте с 3-х раз- почему?)и средств у больной 
был выполнен 22.01.14 малоинвазивный остеосинтез проксимального отдела 
бедра чем Бог послал (каким-то чудом оказавшаяся у нас дистальная
бедренная пластина "Деост", не б/у) (см. снимки)-критика принимается.

П/операционный период гладкий. Выписана с рекомендацией начать нагрузку 
на конечность через 12 недель после операции. Убыла на малую родину. 
Дальнейшая связь поддерживалась по e-mail.
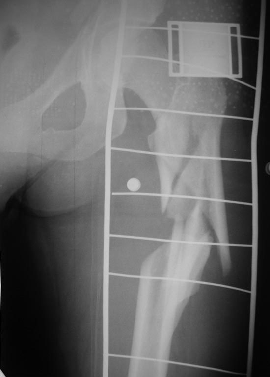
Рекомендации она не соблюдала: нагрузку на ногу начала недели 3 назад. 
Сейчас беспокоят боли в одноименном коленном суставе, отека нет, болей в 
месте перелома нет, анализы в норме, незначительное ограничение движений 
в ТБС. По месту жительства выполнила КТ (снимки и описание в 
приложении). Местные коллеги утверждают, что необходимо сделать 
реостеосинтез, но сами не берутся. Вопрос больше от пациентки: "Делать 
ли повторную операцию сейчас, или некоторое время походить с полной 
нагрузкой и сделать контроль, а там решать?"
Михаил


----------- следущая часть -----------
Вложение не в текстовом формате было извлечено…
Имя     : 212612-1.jpg
Тип     : image/jpeg
Размер  : 37920 байтов
Описание: отсутствует
Url     : http://weborto.net:8080/pipermail/ortho/attachments/20140723/8196bf20/attachment-0024.jpg 
----------- следущая часть -----------
Вложение не в текстовом формате было извлечено…
Имя     : 212612-2.jpg
Тип     : image/jpeg
Размер  : 41474 байтов
Описание: отсутствует
Url     : http://weborto.net:8080/pipermail/ortho/attachments/20140723/8196bf20/attachment-0025.jpg 
----------- следущая часть -----------
Вложение не в текстовом формате было извлечено…
Имя     : 212612-3.jpg
Тип     : image/jpeg
Размер  : 30102 байтов
Описание: отсутствует
Url     : http://weborto.net:8080/pipermail/ortho/attachments/20140723/8196bf20/attachment-0026.jpg 
----------- следущая часть -----------
Вложение не в текстовом формате было извлечено…
Имя     : 212612-4.jpg
Тип     : image/jpeg
Размер  : 38166 байтов
Описание: отсутствует
Url     : http://weborto.net:8080/pipermail/ortho/attachments/20140723/8196bf20/attachment-0027.jpg 
----------- следущая часть -----------
Вложение не в текстовом формате было извлечено…
Имя     : 212612-5.jpg
Тип     : image/jpeg
Размер  : 46292 байтов
Описание: отсутствует
Url     : http://weborto.net:8080/pipermail/ortho/attachments/20140723/8196bf20/attachment-0028.jpg 
----------- следущая часть -----------
Вложение не в текстовом формате было извлечено…
Имя     : 212612-6.jpg
Тип     : image/jpeg
Размер  : 830781 байтов
Описание: отсутствует
Url     : http://weborto.net:8080/pipermail/ortho/attachments/20140723/8196bf20/attachment-0029.jpg 
----------- следущая часть -----------
Вложение не в текстовом формате было извлечено…
Имя     : 212612-7.jpg
Тип     : image/jpeg
Размер  : 1193642 байтов
Описание: отсутствует
Url     : http://weborto.net:8080/pipermail/ortho/attachments/20140723/8196bf20/attachment-0030.jpg 
----------- следущая часть -----------
Вложение не в текстовом формате было извлечено…
Имя     : 212612-8.jpg
Тип     : image/jpeg
Размер  : 103219 байтов
Описание: отсутствует
Url     : http://weborto.net:8080/pipermail/ortho/attachments/20140723/8196bf20/attachment-0031.jpg 


Подробная информация о списке рассылки Ortho