[Ortho]

Djoldas Kuldjanov orthoforum weborto.net
28 22:18:02 YEKST 2014


Амбиции политиков выше, чем трагедия людей, и пока военные эскалации 
между бывшими«братскими республиками»  продолжаются, а врачам остается 
заниматься проблемами огнестрельных ран. Здесь представлен опыт лечения 
огнестрельных ран в мирное время, которые отличаются от ранении "градом" 
или после бомбардировок, но от этого принцип лечения огнестрельных ран 
не меняется.

Лекция неоднократно была представлена на странице Форума и с каждым 
годом становится более популярной в странах СНГ. Наш принцип лечения 
отличается от стандартов, принятых ВПМ в странах СНГ - применение 
пластин и гвоздей в ранний период укорочивает сроки восстановления.

Ежегодно через наше приемное отделение проходит до 300-350 случаев ОСР и 
из них половина с повреждениями скелета, иногда бывает за день до 5-6 
случаев. Тактика не отличается от лечения открытых ран, т.е. раны I и II 
ст. - фиксация гвоздем или пластиной. Наружный фиксатор при ранах III 
степени, вакуум и поэтапная окончательная фиксация после разрешения 
проблемы мягких тканей.

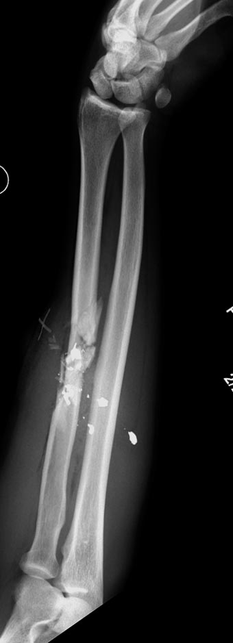
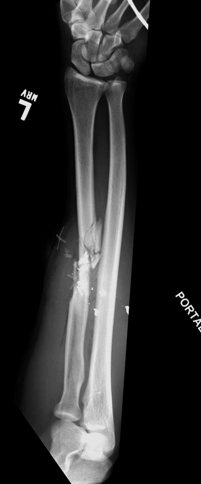
Здесь примеры: двоюродные братья с ранением предплечья, у одного 
локтевая, а у второго лучевая. В следующее утро локтевая фиксирована без 
обнажения фокуса травмы из небольших доступов, а второй из обычного 
волярного доступа. А клинический снимок из прошлых операций...


Djoldas Kuldjanov

-----------   -----------
Вложение не в текстовом формате было извлечено…
Имя     : GSW radius 1.jpg
Тип     : image/jpeg
Размер  : 34919 байтов
Описание: отсутствует
Url     : http://weborto.net:8080/pipermail/ortho/attachments/20140728/123f732a/attachment-0010.jpg 
-----------   -----------
Вложение не в текстовом формате было извлечено…
Имя     : GSW radius 2.jpg
Тип     : image/jpeg
Размер  : 33680 байтов
Описание: отсутствует
Url     : http://weborto.net:8080/pipermail/ortho/attachments/20140728/123f732a/attachment-0011.jpg 
-----------   -----------
Вложение не в текстовом формате было извлечено…
Имя     : GSW radius 3.jpg
Тип     : image/jpeg
Размер  : 38012 байтов
Описание: отсутствует
Url     : http://weborto.net:8080/pipermail/ortho/attachments/20140728/123f732a/attachment-0012.jpg 
-----------   -----------
Вложение не в текстовом формате было извлечено…
Имя     : GSW radius CRM 4.jpg
Тип     : image/jpeg
Размер  : 32161 байтов
Описание: отсутствует
Url     : http://weborto.net:8080/pipermail/ortho/attachments/20140728/123f732a/attachment-0013.jpg 
-----------   -----------
Вложение не в текстовом формате было извлечено…
Имя     : GSW radius CRM 5.jpg
Тип     : image/jpeg
Размер  : 32952 байтов
Описание: отсутствует
Url     : http://weborto.net:8080/pipermail/ortho/attachments/20140728/123f732a/attachment-0014.jpg 
-----------   -----------
Вложение не в текстовом формате было извлечено…
Имя     : GSW ulna 1.jpg
Тип     : image/jpeg
Размер  : 40223 байтов
Описание: отсутствует
Url     : http://weborto.net:8080/pipermail/ortho/attachments/20140728/123f732a/attachment-0015.jpg 
-----------   -----------
Вложение не в текстовом формате было извлечено…
Имя     : GSW ulna 2.jpg
Тип     : image/jpeg
Размер  : 27264 байтов
Описание: отсутствует
Url     : http://weborto.net:8080/pipermail/ortho/attachments/20140728/123f732a/attachment-0016.jpg 
-----------   -----------
Вложение не в текстовом формате было извлечено…
Имя     : GSW ulna CRM 3.jpg
Тип     : image/jpeg
Размер  : 39434 байтов
Описание: отсутствует
Url     : http://weborto.net:8080/pipermail/ortho/attachments/20140728/123f732a/attachment-0017.jpg 
-----------   -----------
Вложение не в текстовом формате было извлечено…
Имя     : GSW ulna CRM 4.jpg
Тип     : image/jpeg
Размер  : 43413 байтов
Описание: отсутствует
Url     : http://weborto.net:8080/pipermail/ortho/attachments/20140728/123f732a/attachment-0018.jpg 
-----------   -----------
Вложение не в текстовом формате было извлечено…
Имя     : GSW ulna CRM 5.jpg
Тип     : image/jpeg
Размер  : 46462 байтов
Описание: отсутствует
Url     : http://weborto.net:8080/pipermail/ortho/attachments/20140728/123f732a/attachment-0019.jpg 


Ortho