[Ortho] Повторный перелом бедра

Doktorov Alexey orthoforum на weborto.net
Пн Июл 28 23:17:57 YEKST 2014


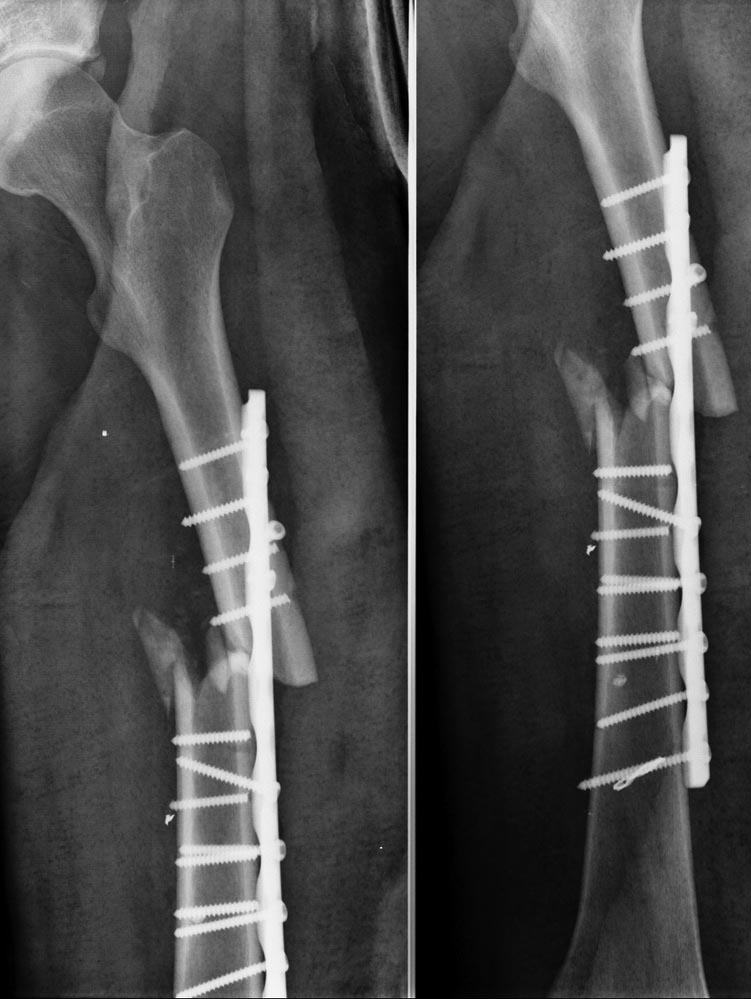
Доброго дня уважаемые коллеги! Пациент Г 28 лет травма при ДТП от 11.07: 
ЗЧМТ (сознание не терял). Закрытый перелом левой бедренной кости, 
закрытые переломы большеберцовой кости и шейки таранной кости слева. 
14.07 выполнен МОС левого бедра пластиной, фиксация левой
голени и стопы в АВФ. 18.07 при попытке вертикализации отметил сильный 
спазм и боль в области левого бедра (на снимках перелом по шейкам 4-х 
дистальных винтов). В этот же день реостеосинтез левого бедра, 
дренирование раны (дренаж почему то держали до 25.07). Выписан
домой. 26.07 при повороте в постели повторный спазм и боль. На снимках 
опять же перелом дистальных винтов. При личной беседе пациент более чем 
адекватен, без сопутствующей соматической патологии. Фраза "сам виноват" 
к нему очень подходит. Возникало мнение о какой-либо форме столбняка, 
может гиперактивности каких-либо L-мотонейронов, но все из
рода больше казуистики. А может все проще: тонкие винты, "мало" 
отверстий в пластине, сам пациент...
Doktorov Alexey


----------- следущая часть -----------
Вложение не в текстовом формате было извлечено…
Имя     : 1.JPG
Тип     : image/jpeg
Размер  : 103429 байтов
Описание: отсутствует
Url     : http://weborto.net:8080/pipermail/ortho/attachments/20140728/b9a9bbde/attachment-0001.jpe 


Подробная информация о списке рассылки Ortho