[Ortho] БИОС б/берцовой кости

Влад orthoforum на weborto.net
Чт Май 1 02:43:01 YEKST 2014


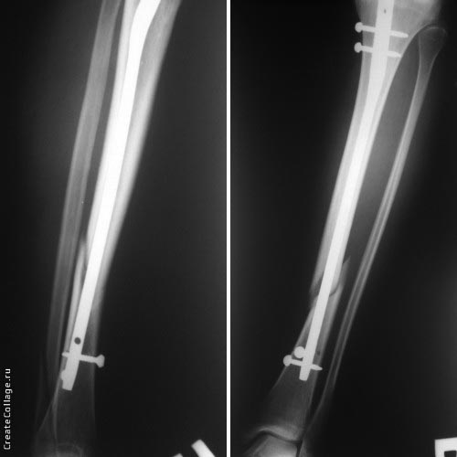
Пациент 26 лет, перелом б/берцовой кости в н/з, при поступлении наложено 
скелетное вытяжение, спустя 14 дней с момента поступления выполнена 
операция БИОС. Выписана. После консультации пациентки только по 
Ro-граммам в другой больнице получен ответ "накосячили". Уважаемые 
коллеги, а какая ваша будет оценка? Согласен что гвоздь коротковат.
Влад


----------- следущая часть -----------
Вложение не в текстовом формате было извлечено…
Имя     : 5.jpg
Тип     : image/jpeg
Размер  : 38360 байтов
Описание: отсутствует
Url     : http://weborto.net:8080/pipermail/ortho/attachments/20140501/dbfce286/attachment-0001.jpg 


Подробная информация о списке рассылки Ortho