[Ortho] /

Djoldas Kuldjanov orthoforum weborto.net
13 22:49:33 YEKST 2014


Влад, спасибо за выложенный случай.

Из дискуссии понял, что результат операции устраивает, и никто не 
собирается делать ревизию. Прошло достаточно времени, и если“соседи” 
уже не сделали, то можно оставить как есть. Такие смещения допускаются 
для консервативного лечения, но для оперативного лечения деформация 
считается неудовлетворительной. Проверенный метод Илизарова дал бы 
возможность улучшить положение отломков, в отличие от 
дискредитированного БИОС.

Разбор любого случая кому-то поможет лучше ориентироваться в решении 
вопросов, потому что в нашей работе встречаются разные связанные и 
несвязанные с мастерством хирурга ситуации. Возможно, отсутствие полного 
набора гвоздей повлияло на выбор короткого имплантата, имеется угловая и 
ротационная деформации. Независимо от локализации, стабильность 
создается, когда гвоздь проксимально не глубже 1.5 см (облегчает 
удаление) и дистально доходит до epiphyseal scar.

Кроме этого, имеет значение предварительная репозиция и риминг в центре 
канала. Интактная малоберцовая иногда затрудняет репозицию, но 
существуют разные приемы, нп. при застарелом можно применить 
дистракторы: стержневой или кольца Илизарова, а при свежих - перкутанно 
Weber clamp.

Мнение о том, что гвоздь сделает репозицию не всегда соответствует 
истине. Снимки показывают на неудачную попытку исправить направление 
гвоздя с помощью“поллеров”. Прием возможен только тогда, когда проход 
риминга в центре канала, иначе толкать гвоздь некуда.

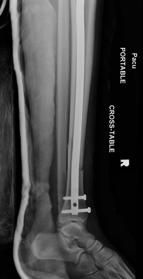
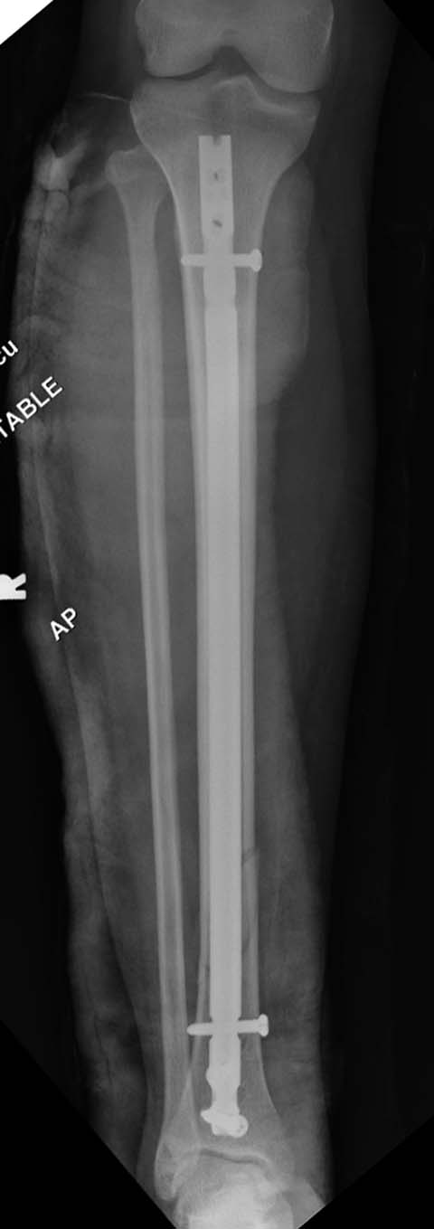
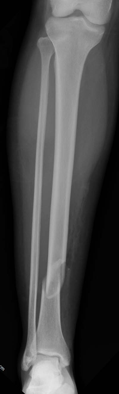
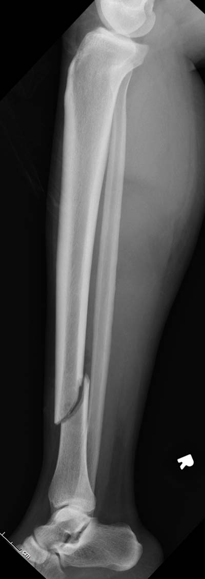
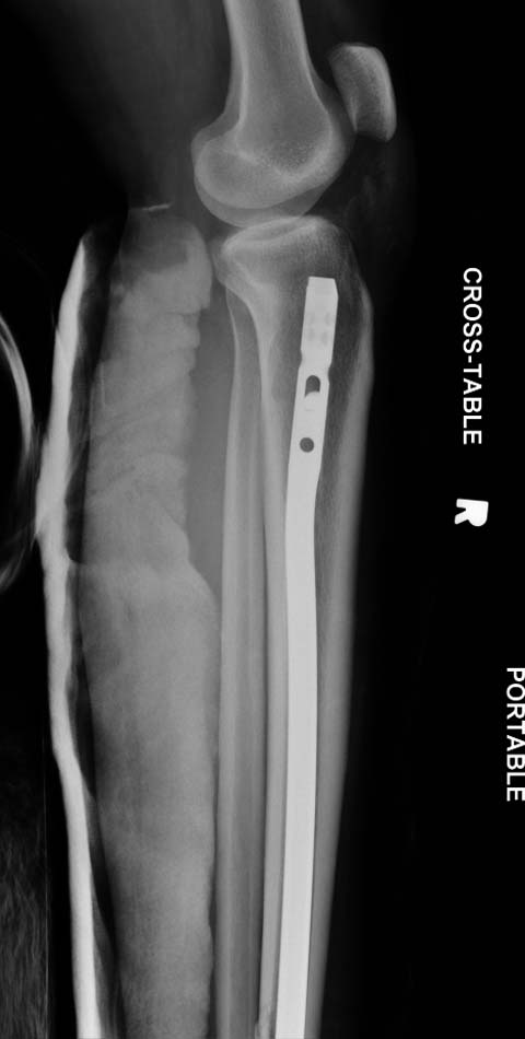
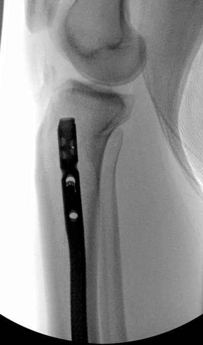
Здесь несколько снимков изолированного перелома большеберцовой с 
интактной малоберцовой.  Weber clamp, блокирующие спицы и риминг в 
центре канала отрепонировал перелом....

  Djoldas Kuldjanov

-----------   -----------
Вложение не в текстовом формате было извлечено…
Имя     : Isolated tibia 1.jpg
Тип     : image/jpeg
Размер  : 30086 байтов
Описание: отсутствует
Url     : http://weborto.net:8080/pipermail/ortho/attachments/20140513/e36db0f1/attachment-0015.jpg 
-----------   -----------
Вложение не в текстовом формате было извлечено…
Имя     : Isolated tibia 2.jpg
Тип     : image/jpeg
Размер  : 33511 байтов
Описание: отсутствует
Url     : http://weborto.net:8080/pipermail/ortho/attachments/20140513/e36db0f1/attachment-0016.jpg 
-----------   -----------
Вложение не в текстовом формате было извлечено…
Имя     : Isolated tibia CRM 5.jpg
Тип     : image/jpeg
Размер  : 36362 байтов
Описание: отсутствует
Url     : http://weborto.net:8080/pipermail/ortho/attachments/20140513/e36db0f1/attachment-0017.jpg 
-----------   -----------
Вложение не в текстовом формате было извлечено…
Имя     : Isolated tibia CRM 8.jpg
Тип     : image/jpeg
Размер  : 31177 байтов
Описание: отсутствует
Url     : http://weborto.net:8080/pipermail/ortho/attachments/20140513/e36db0f1/attachment-0018.jpg 
-----------   -----------
Вложение не в текстовом формате было извлечено…
Имя     : Isolated tibia CRM 9.jpg
Тип     : image/jpeg
Размер  : 31436 байтов
Описание: отсутствует
Url     : http://weborto.net:8080/pipermail/ortho/attachments/20140513/e36db0f1/attachment-0019.jpg 
-----------   -----------
Вложение не в текстовом формате было извлечено…
Имя     : Isolated tibia CRM 11.jpg
Тип     : image/jpeg
Размер  : 30381 байтов
Описание: отсутствует
Url     : http://weborto.net:8080/pipermail/ortho/attachments/20140513/e36db0f1/attachment-0020.jpg 
-----------   -----------
Вложение не в текстовом формате было извлечено…
Имя     : Isolated tibia CRM 14.jpg
Тип     : image/jpeg
Размер  : 32485 байтов
Описание: отсутствует
Url     : http://weborto.net:8080/pipermail/ortho/attachments/20140513/e36db0f1/attachment-0021.jpg 
-----------   -----------
Вложение не в текстовом формате было извлечено…
Имя     : Isolated tibia CRM 15.jpg
Тип     : image/jpeg
Размер  : 32588 байтов
Описание: отсутствует
Url     : http://weborto.net:8080/pipermail/ortho/attachments/20140513/e36db0f1/attachment-0022.jpg 
-----------   -----------
Вложение не в текстовом формате было извлечено…
Имя     : Isolated tibia CRM 20.jpg
Тип     : image/jpeg
Размер  : 28842 байтов
Описание: отсутствует
Url     : http://weborto.net:8080/pipermail/ortho/attachments/20140513/e36db0f1/attachment-0023.jpg 
-----------   -----------
Вложение не в текстовом формате было извлечено…
Имя     : Isolated tibia CRM 21.jpg
Тип     : image/jpeg
Размер  : 31008 байтов
Описание: отсутствует
Url     : http://weborto.net:8080/pipermail/ortho/attachments/20140513/e36db0f1/attachment-0024.jpg 
-----------   -----------
Вложение не в текстовом формате было извлечено…
Имя     : Isolated tibia CRM 22.jpg
Тип     : image/jpeg
Размер  : 40077 байтов
Описание: отсутствует
Url     : http://weborto.net:8080/pipermail/ortho/attachments/20140513/e36db0f1/attachment-0025.jpg 
-----------   -----------
Вложение не в текстовом формате было извлечено…
Имя     : Isolated tibia CRM 25.jpg
Тип     : image/jpeg
Размер  : 33894 байтов
Описание: отсутствует
Url     : http://weborto.net:8080/pipermail/ortho/attachments/20140513/e36db0f1/attachment-0026.jpg 
-----------   -----------
Вложение не в текстовом формате было извлечено…
Имя     : Isolated tibia final 2.jpg
Тип     : image/jpeg
Размер  : 37224 байтов
Описание: отсутствует
Url     : http://weborto.net:8080/pipermail/ortho/attachments/20140513/e36db0f1/attachment-0027.jpg 
-----------   -----------
Вложение не в текстовом формате было извлечено…
Имя     : Isolated tibia final 3.jpg
Тип     : image/jpeg
Размер  : 42532 байтов
Описание: отсутствует
Url     : http://weborto.net:8080/pipermail/ortho/attachments/20140513/e36db0f1/attachment-0028.jpg 
-----------   -----------
Вложение не в текстовом формате было извлечено…
Имя     : Isolated tibia final.jpg
Тип     : image/jpeg
Размер  : 40012 байтов
Описание: отсутствует
Url     : http://weborto.net:8080/pipermail/ortho/attachments/20140513/e36db0f1/attachment-0029.jpg 


Ortho