[Ortho] деформация стопы

Максим orthoforum на weborto.net
Ср Май 14 18:13:50 YEKST 2014


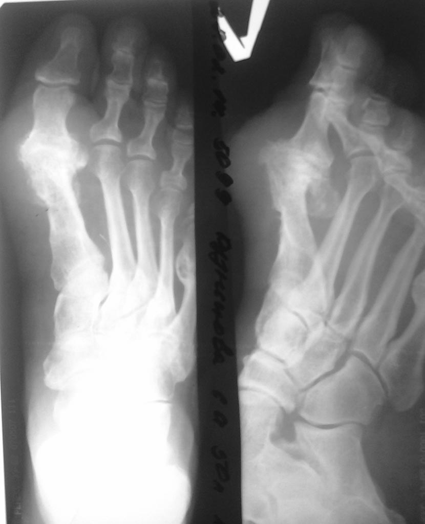
Доброе время суток, помогите пожалуйста с тактикой лечения. Пациентке 50 
лет в анамнезе корректирующая операция на костях 1 луча левой стопы, в 
настоящее время беспокоят боли в проекции 1 луча при опоре на 
стопу.Рентгенологически и клинически артродез 1 плюсне-фалангового 
сустава состоялся. Что-бы Вы порекомендовали в плане лечения.


Максим

----------- следущая часть -----------
Вложение не в текстовом формате было извлечено…
Имя     : жПФП0596.jpg
Тип     : image/jpeg
Размер  : 68283 байтов
Описание: отсутствует
Url     : http://weborto.net:8080/pipermail/ortho/attachments/20140514/983ea636/attachment-0001.jpg 


Подробная информация о списке рассылки Ortho