[Ortho] Перелом пилона. Реконструкция или артродез?

Денис Магсумов orthoforum на weborto.net
Чт Май 15 21:14:52 YEKST 2014


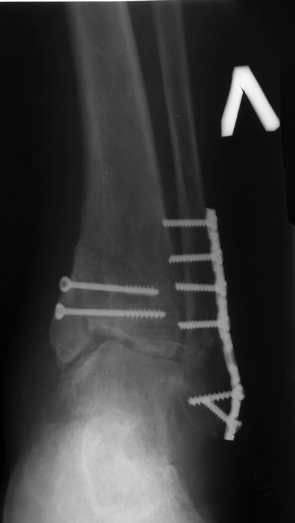
Мужчина, 42 лет, рабочей специальности, соматически здоров. В октябре 
2013 года травма на охоте - оступился и подвернул стопу на пахоте - 
вывих стопы кнаружи, перелом малоберцовой в нижней трети, внутренней 
лодыжки. От предложенного наложения скелетного вытяжения категорически 
отказался.

Через 10 дней после поступления в стационар выполнена открытая 
репозиция, остеосинтез малоберцовой кости, фиксация внутренней лодыжки 
винтами. В настойщий момент патологическая установка стопы, осевая 
нагрузка болезненная, амплитуда движений в суставе ограничена. На 
приложенных рентгенограммах результат лечения по состоянию на
середину апреля 2014 года. Порекомендовал больному выполнить КТ 
голеностопного сустава.
Вопрос:
1. Попытаться выполнить реконструкцию пилона, с костной пластикой и 
остеосинтезом пластиной?
2. Аппарат Илизарова, остеотомия метафиза большеберцовой кости и 
дозрованная дистракция по медиальной стороне для выправления соотношения 
линии сустава и осевой голени?
3. Артродез сустава? Буду рад слышать мотивированные мнения уважаемых 
коллег.

С уважением,
Денис Ф.Магсумов

----------- следущая часть -----------
Вложение не в текстовом формате было извлечено…
Имя     : DSCN0463_ПВТЕЪ_ЗПФ.jpg
Тип     : image/jpeg
Размер  : 45790 байтов
Описание: отсутствует
Url     : http://weborto.net:8080/pipermail/ortho/attachments/20140515/ab90017e/attachment-0001.jpg 


Подробная информация о списке рассылки Ortho