[Ortho] Рукоблудство

Игорь orthoforum на weborto.net
Пт Май 16 13:27:18 YEKST 2014


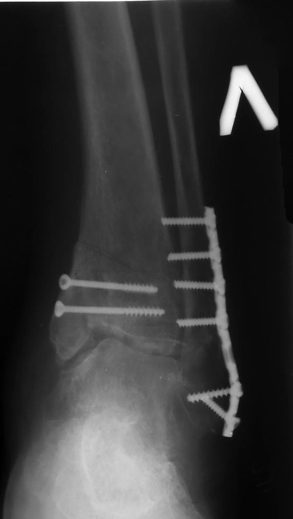
К чему приводит остеосинтез разными металлами...

Женщина 1953 г.р., в январе 2011 года остеосинтез титановой пластиной и 
стальными винтами... Что делать ????
Игорь


----------- следущая часть -----------
Вложение не в текстовом формате было извлечено…
Имя     : DSCN0463_ПВТЕЪ_ЗПФ.jpg
Тип     : image/jpeg
Размер  : 45790 байтов
Описание: отсутствует
Url     : http://weborto.net:8080/pipermail/ortho/attachments/20140516/abb945e9/attachment-0001.jpg 


Подробная информация о списке рассылки Ortho