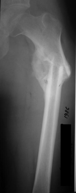
[Ortho] Предел одномоментного удлинения диафиза бедра?

Ерсин Жунусов orthoforum на weborto.net
Вт Май 20 10:39:10 YEKST 2014


Уважаемые коллеги! Предоставляем один свежих случаев, если что то не так 
просим строго не судить!
С уважением Ерсин Жунусов


----------- следущая часть -----------
Вложение не в текстовом формате было извлечено…
Имя     : image001.jpg
Тип     : image/jpeg
Размер  : 28610 байтов
Описание: отсутствует
Url     : http://weborto.net:8080/pipermail/ortho/attachments/20140520/79bf000d/attachment-0003.jpg 
----------- следущая часть -----------
Вложение не в текстовом формате было извлечено…
Имя     : image003.jpg
Тип     : image/jpeg
Размер  : 38037 байтов
Описание: отсутствует
Url     : http://weborto.net:8080/pipermail/ortho/attachments/20140520/79bf000d/attachment-0004.jpg 
----------- следущая часть -----------
Вложение не в текстовом формате было извлечено…
Имя     : image005.jpg
Тип     : image/jpeg
Размер  : 61117 байтов
Описание: отсутствует
Url     : http://weborto.net:8080/pipermail/ortho/attachments/20140520/79bf000d/attachment-0005.jpg 


Подробная информация о списке рассылки Ortho