[Ortho] Hallux valgus- выбор тактики

????????? alex61 на gmail.com
Пт Май 23 23:56:30 YEKST 2014


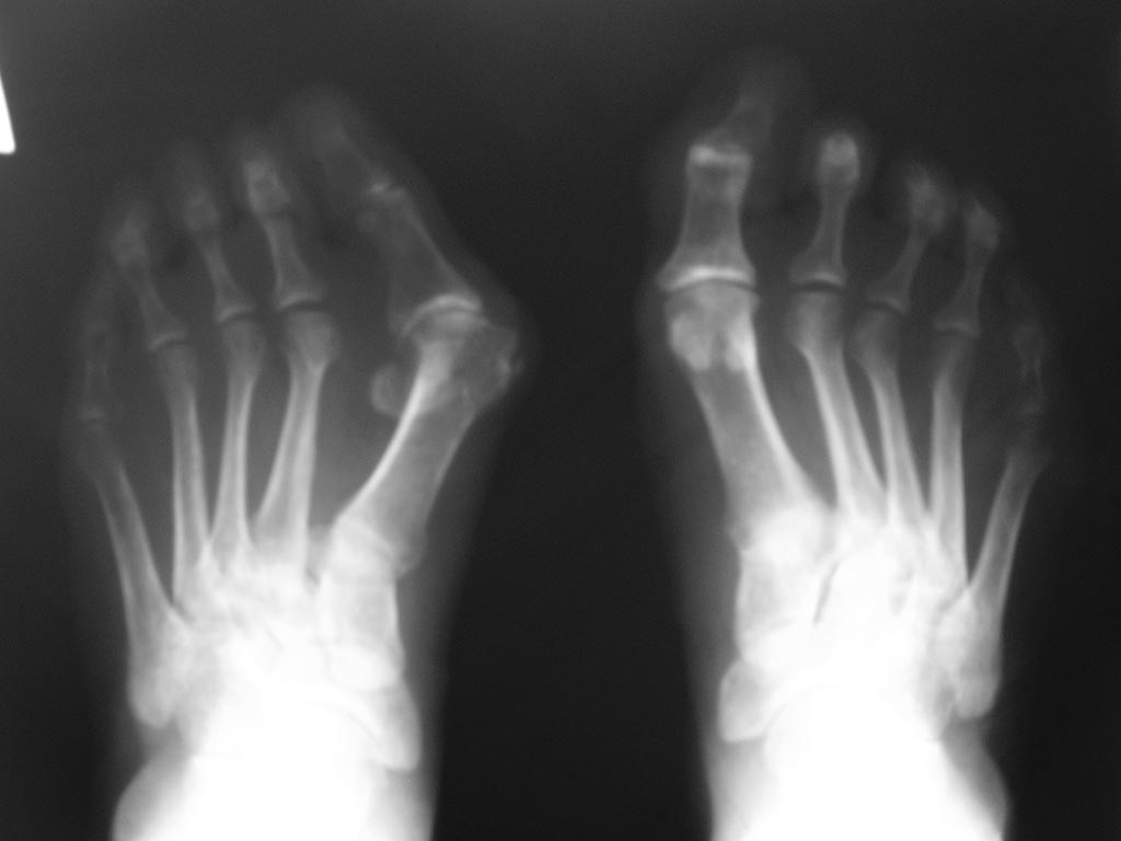
Здравствуйте,коллеги! Хотелось бы обсудить данный случай. Прошу помочь 
определиться с объемом реконструкции переднего отдела левой стопы. 
Женщина 50 лет, работа на ногах. Первый палец довольно ригиден в своей 
установке. Плотные натоптыши на подошве.

Планируется остеотомия 1 плюсневой кости- Z-образная или поперечная, 
резекция экзостоза, формирование поперечного свода при помощи 
аллотрансплантата. Интересует- стоит ли делать резекцию основания 
основной фаланги, если 1 палец не будет "выводиться" в правильное
положение, либо переместить сухожилие разгибателя кнаружи. 
Приветствуются все мнения!
Александр


----------- следущая часть -----------
Вложение не в текстовом формате было извлечено…
Имя     : P1010113.JPG
Тип     : image/jpeg
Размер  : 54541 байтов
Описание: отсутствует
Url     : http://weborto.net:8080/pipermail/ortho/attachments/20140523/cba4ec9e/attachment-0001.jpeg 


Подробная информация о списке рассылки Ortho