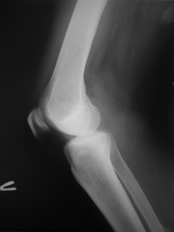
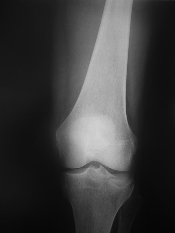
[Ortho] Импрессионный перелом латерального мыщелка левой большеберцевой кости.

Ю.В. orthoforum на weborto.net
Чт Май 29 12:19:41 YEKST 2014


Уважаемые коллеги, интересует Ваше мнение по тактике ведения данной 
травмы. Мнения коллег разошлись:
1 восстановление высоты с фиксацией блокирующей пластиной и костная 
аутопластика
2 консервативное лечение с фиксацией в туторе до 5-6 недель.
Ю.В.


----------- следущая часть -----------
Вложение не в текстовом формате было извлечено…
Имя     : P1060951.JPG
Тип     : image/jpeg
Размер  : 359292 байтов
Описание: отсутствует
Url     : http://weborto.net:8080/pipermail/ortho/attachments/20140529/6f48c8cf/attachment-0003.jpeg 
----------- следущая часть -----------
Вложение не в текстовом формате было извлечено…
Имя     : P1060953.JPG
Тип     : image/jpeg
Размер  : 29329 байтов
Описание: отсутствует
Url     : http://weborto.net:8080/pipermail/ortho/attachments/20140529/6f48c8cf/attachment-0004.jpeg 
----------- следущая часть -----------
Вложение не в текстовом формате было извлечено…
Имя     : P1060954.JPG
Тип     : image/jpeg
Размер  : 35486 байтов
Описание: отсутствует
Url     : http://weborto.net:8080/pipermail/ortho/attachments/20140529/6f48c8cf/attachment-0005.jpeg 


Подробная информация о списке рассылки Ortho