[Ortho] миграция винта

Андрей Петрович orthoforum на weborto.net
Пн Ноя 3 14:59:30 YEKT 2014


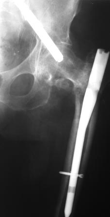
Доброе время суток коллеги. Прошу Вашей помощи, подскажите, как лучше 
удалить винт.

пациентка по поводу вертельного перелома бедра оперирована 7 недель 
назад, в быту ходила с нагрузкой. около 2-х дней назад упала. На снимках 
вот такая картина. Сам ранее только читал, сейчас встретился воочию.
Андрей Петрович


----------- следущая часть -----------
Вложение не в текстовом формате было извлечено…
Имя     : 1.jpg
Тип     : image/jpeg
Размер  : 33807 байтов
Описание: отсутствует
Url     : http://weborto.net:8080/pipermail/ortho/attachments/20141103/c3b9021e/attachment-0002.jpg 
----------- следущая часть -----------
Вложение не в текстовом формате было извлечено…
Имя     : 2.jpg
Тип     : image/jpeg
Размер  : 30330 байтов
Описание: отсутствует
Url     : http://weborto.net:8080/pipermail/ortho/attachments/20141103/c3b9021e/attachment-0003.jpg 


Подробная информация о списке рассылки Ortho