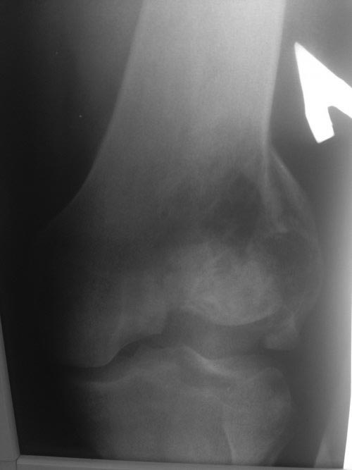
[Ortho] Патологический перелом мыщелка бедра

Айрапетов Георгий orthoforum на weborto.net
Пн Ноя 3 23:38:25 YEKT 2014


Рентгеновский снимок
Айрапетов Георгий

----------- следущая часть -----------
Вложение не в текстовом формате было извлечено…
Имя     : Foto1_500x667.jpg
Тип     : image/jpeg
Размер  : 29493 байтов
Описание: отсутствует
Url     : http://weborto.net:8080/pipermail/ortho/attachments/20141103/3e40f613/attachment-0002.jpg 
----------- следущая часть -----------
Вложение не в текстовом формате было извлечено…
Имя     : Foto2_500x667.jpg
Тип     : image/jpeg
Размер  : 34750 байтов
Описание: отсутствует
Url     : http://weborto.net:8080/pipermail/ortho/attachments/20141103/3e40f613/attachment-0003.jpg 


Подробная информация о списке рассылки Ortho