[Ortho] Остеоэпифизеолиз пилона

Дедок Михаил orthoforum на weborto.net
Вт Ноя 4 12:14:10 YEKT 2014


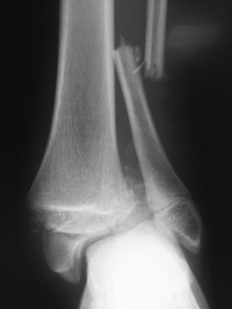
Ребенок 15 лет. Госпитализирован 25.10.14. Репозиция, затем гипс, 
закономерная смена его на вытяжение в связи с появлением фликтен.

Про необходимоть ЕхFix с самого начала можете не писать, сам знаю :(

Вопрос, что делать дальше. Детские травматологи не взяли, не их возраст.
Сами с подобными травмами не сталкивались, т.к. лечим взрослых. Завтра 
сделаем КТ.

Рассматриваем варианты:

1. в ближайшей день повторная попытка репозиции ExFix, дистракция, а там 
посмотреть..

2. Сразу аппарат Илизарова и все в нем.

3. ЕxFix со сменой на погружной остеосинтез, учитывая, что зона роста 
скорее всего "умерла". Есть L образные пластины с угловой стабильностью.


Снимки в хронологическом порядке и внешний вид прилагаю.

Заранее спасибо!
Дедок Михаил
ГУЗ Узловская РБ

----------- следущая часть -----------
Вложение не в текстовом формате было извлечено…
Имя     : 1 при поступлении.JPG
Тип     : image/jpeg
Размер  : 44771 байтов
Описание: отсутствует
Url     : http://weborto.net:8080/pipermail/ortho/attachments/20141104/0104e2a9/attachment-0005.jpeg 
----------- следущая часть -----------
Вложение не в текстовом формате было извлечено…
Имя     : 2 после репозиции.JPG
Тип     : image/jpeg
Размер  : 50383 байтов
Описание: отсутствует
Url     : http://weborto.net:8080/pipermail/ortho/attachments/20141104/0104e2a9/attachment-0006.jpeg 
----------- следущая часть -----------
Вложение не в текстовом формате было извлечено…
Имя     : 3 на вытяжении.JPG
Тип     : image/jpeg
Размер  : 51931 байтов
Описание: отсутствует
Url     : http://weborto.net:8080/pipermail/ortho/attachments/20141104/0104e2a9/attachment-0007.jpeg 
----------- следущая часть -----------
Вложение не в текстовом формате было извлечено…
Имя     : 4 вн вид.JPG
Тип     : image/jpeg
Размер  : 58536 байтов
Описание: отсутствует
Url     : http://weborto.net:8080/pipermail/ortho/attachments/20141104/0104e2a9/attachment-0008.jpeg 
----------- следущая часть -----------
Вложение не в текстовом формате было извлечено…
Имя     : 5 вн вид.JPG
Тип     : image/jpeg
Размер  : 54183 байтов
Описание: отсутствует
Url     : http://weborto.net:8080/pipermail/ortho/attachments/20141104/0104e2a9/attachment-0009.jpeg 


Подробная информация о списке рассылки Ortho