[Ortho]

Djoldas Kuldjanov orthoforum weborto.net
13 09:35:10 YEKT 2014


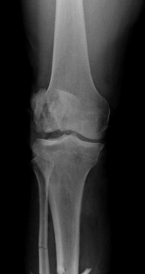
Посты:“Патологический перелом мыщелка бедра”  и“Опухоль дистального 
метаэпифиза бедренной кости”  идентичны, и это картина одного того 
заболевания, только в различных стадиях. Окончательный диагноз любого 
опухолевого процесса ставится на основании биопсии, а предварительный 
диагноз можно установить на основании рентгенологических данных.
С предварительным диагнозом отлично справляются рентгенологи, но в 
первом случае рентгенолог отписался“шаблонным”  заключением, которое не 
помогло, и поэтому самому необходимо попытаться дифференцировать 
опухоль. В диагностике опухолей главным является возраст, где для каждой 
декады жизни характерны различные патологические состояния.

В возрасте между 20-40 годами из доброкачественных опухолей встречаются 
гигантоклеточные и энхондромы, а из злокачественных - только 
хондросаркома! Интенсивность и характер боли также имеет значение, 
например, усиление боли означает быстро растущую остеобластому, ГКТ или 
малигнизацию. Стрессовые и патологические переломы могут встречаться при 
злокачественном и при доброкачественном опухолях. Разрыв или вовлечение 
кортикального слоя означает метастазирование или стрессовый перелом. 
Четкие контуры показывает неагрессивную форму.

На основании этих данных можно предположить, что здесь имеем ГКТ 
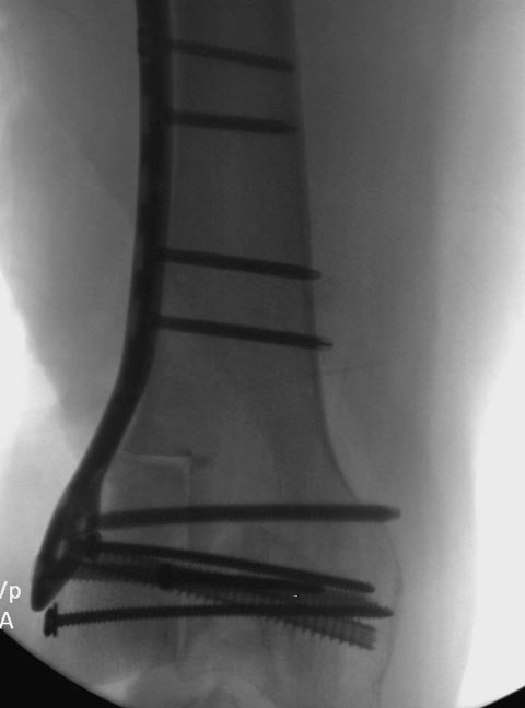
дистального бедра. Первый случай, оперировать можно в обычном 
ортопедическом отделении. Доступ латеральный, удалить содержимое и 
заполнить цементом. Цитотоксичний эффект создается за счет температуры 
при твердении цемента. И опухоли с вовлечением в процесс более чем 40% 
нуждаются в дополнительной фиксации, иначе после удаления опухоли может 
пострадать стабильность. Любая латеральная пластина подойдет для этой цели.
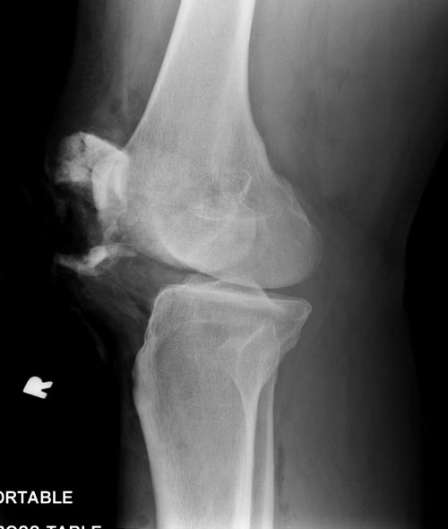
Второй случай, коллапс латерального мыщелка за счет стрессового 
перелома. До операции надо уточнить диагноз биопсией и определить 
границу поражения на КТ и МРТ. Здесь имеется вовлечение кортикального 
слоя и вряд ли дистракционный метод поможет восстановить контур мыщелка. 
Онкологический вариант замещения с удалением неплохой вариант, но 
агрессивный. Возраст молодой и при наличии костного банка можно было 
восстановить аллографтом. Сегодняшняя технология (3Д и КТ) позволяет 
подобрать идеальный размер целого мыщелка (аллографт).

Здесь представлен посттравматический дефект латерального мыщелка и 
лечение аллографтом.


Djoldas Kuldjanov

-----------   -----------
Вложение не в текстовом формате было извлечено…
Имя     : Medial Tibial plateau 1.jpg
Тип     : image/jpeg
Размер  : 34263 байтов
Описание: отсутствует
Url     : http://weborto.net:8080/pipermail/ortho/attachments/20141113/94e46382/attachment-0004.jpg 
-----------   -----------
Вложение не в текстовом формате было извлечено…
Имя     : Medial Tibial plateau 01.jpg
Тип     : image/jpeg
Размер  : 40173 байтов
Описание: отсутствует
Url     : http://weborto.net:8080/pipermail/ortho/attachments/20141113/94e46382/attachment-0005.jpg 
-----------   -----------
Вложение не в текстовом формате было извлечено…
Имя     : Medial Tibial plateau 5.jpg
Тип     : image/jpeg
Размер  : 33096 байтов
Описание: отсутствует
Url     : http://weborto.net:8080/pipermail/ortho/attachments/20141113/94e46382/attachment-0006.jpg 
-----------   -----------
Вложение не в текстовом формате было извлечено…
Имя     : Medial Tibial plateau 7.jpg
Тип     : image/jpeg
Размер  : 30290 байтов
Описание: отсутствует
Url     : http://weborto.net:8080/pipermail/ortho/attachments/20141113/94e46382/attachment-0007.jpg 


Ortho