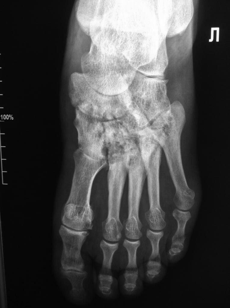
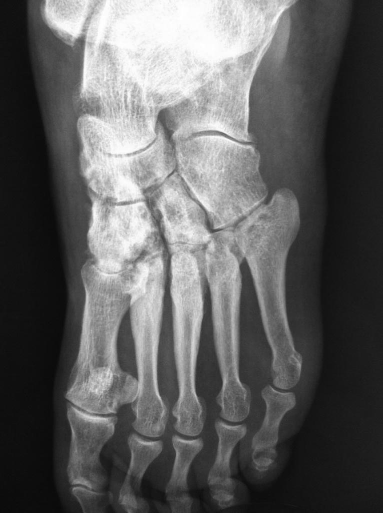
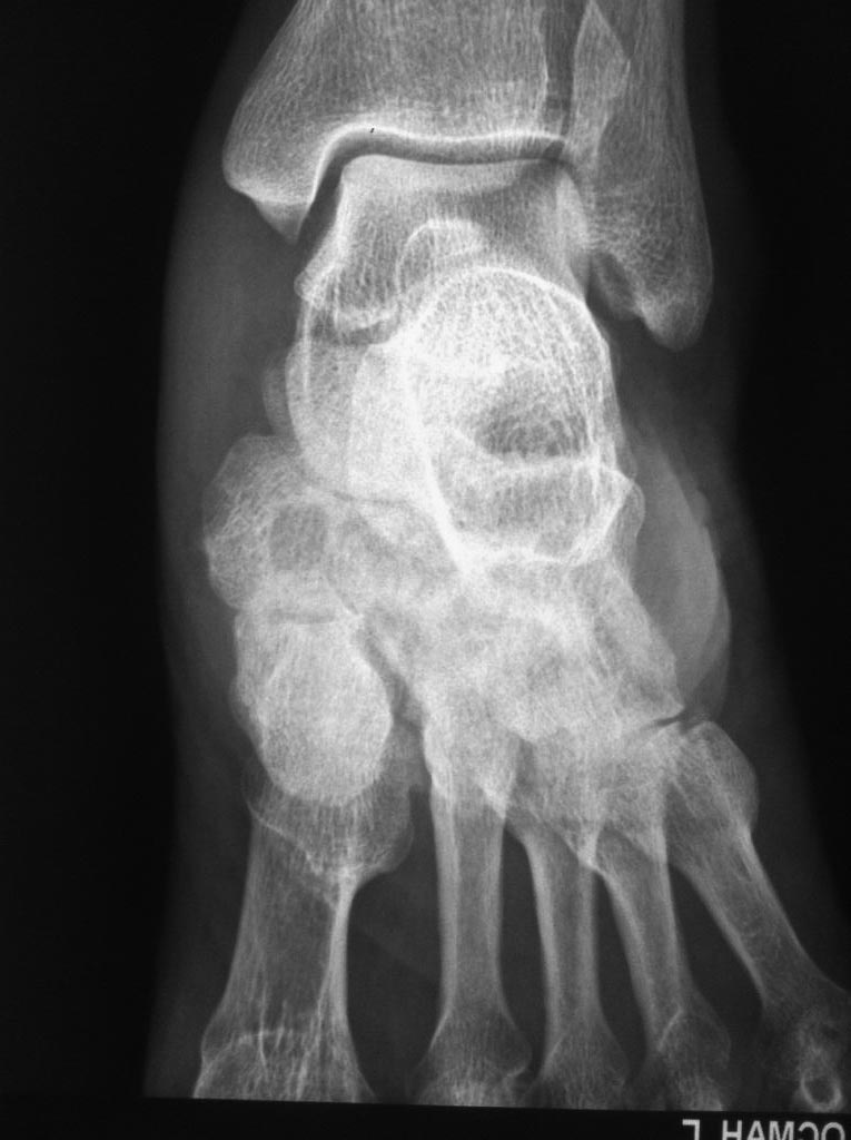
[Ortho] Асептический некроз костей среднего отдела стоп.

Эльдар Шамадаев orthoforum на weborto.net
Пн Ноя 17 22:19:57 YEKT 2014


Доброго времени суток. Обратился пациент, 62 года, бытовые и трудовые 
условия в данное время не отягощены и не были никогда тяжелыми, без 
вредных привычек, со слов оперативных вмешательств не было, курсов 
гормональной терапии не получал, периодически принимает лекарственные 
препараты от арт. гипертензии. Без видимых причин около 1 года назад
появились боли в стопах при ходьбе и нагрузке, в связи с чем обратился к 
ортопеду.
Лаб исследования: Ревмофактор, С-реакт. белок, АЦЦП, Мочевая кислота и 
др. в пределах возрастной нормы. Хотелось бы услышать мнения. Заранее 
благодарен.
Эльдар Шамадаев


----------- следущая часть -----------
Вложение не в текстовом формате было извлечено…
Имя     : IMG_5003.jpg
Тип     : image/jpeg
Размер  : 72587 байтов
Описание: отсутствует
Url     : http://weborto.net:8080/pipermail/ortho/attachments/20141117/cf23b1b3/attachment-0004.jpg 
----------- следущая часть -----------
Вложение не в текстовом формате было извлечено…
Имя     : IMG_5004.jpg
Тип     : image/jpeg
Размер  : 91799 байтов
Описание: отсутствует
Url     : http://weborto.net:8080/pipermail/ortho/attachments/20141117/cf23b1b3/attachment-0005.jpg 
----------- следущая часть -----------
Вложение не в текстовом формате было извлечено…
Имя     : IMG_5005.jpg
Тип     : image/jpeg
Размер  : 86017 байтов
Описание: отсутствует
Url     : http://weborto.net:8080/pipermail/ortho/attachments/20141117/cf23b1b3/attachment-0006.jpg 
----------- следущая часть -----------
Вложение не в текстовом формате было извлечено…
Имя     : IMG_5006.jpg
Тип     : image/jpeg
Размер  : 90985 байтов
Описание: отсутствует
Url     : http://weborto.net:8080/pipermail/ortho/attachments/20141117/cf23b1b3/attachment-0007.jpg 


Подробная информация о списке рассылки Ortho