[Ortho] Полугодовая травма локтевого сустава

Александр orthoforum на weborto.net
Чт Ноя 20 21:39:19 YEKT 2014


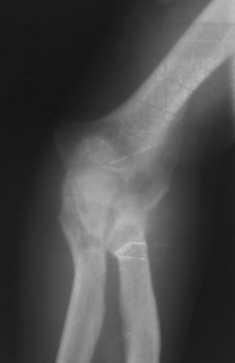
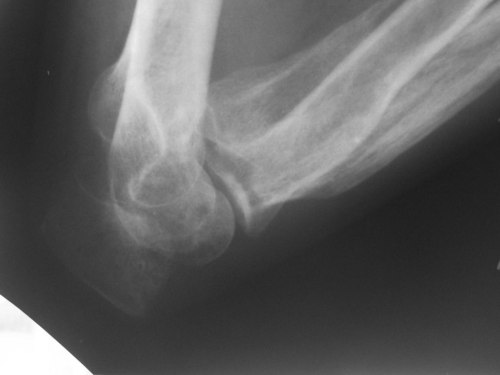
Лечения не было. Сейчас - контрактура и резко выраженный болевой 
синдром, в т.ч. вследствие давления trohlea humeri изнутри на кожу. МРТ 
или КТ невыполнимо. Тактика?
Александр


----------- следущая часть -----------
Вложение не в текстовом формате было извлечено…
Имя     : IMG_0295.JPG
Тип     : image/jpeg
Размер  : 65422 байтов
Описание: отсутствует
Url     : http://weborto.net:8080/pipermail/ortho/attachments/20141120/eb188f24/attachment.jpe 
----------- следущая часть -----------
Вложение не в текстовом формате было извлечено…
Имя     : IMG_0297.JPG
Тип     : image/jpeg
Размер  : 67927 байтов
Описание: отсутствует
Url     : http://weborto.net:8080/pipermail/ortho/attachments/20141120/eb188f24/attachment-0004.jpeg 
----------- следущая часть -----------
Вложение не в текстовом формате было извлечено…
Имя     : IMG_0321.JPG
Тип     : image/jpeg
Размер  : 62873 байтов
Описание: отсутствует
Url     : http://weborto.net:8080/pipermail/ortho/attachments/20141120/eb188f24/attachment-0005.jpeg 
----------- следущая часть -----------
Вложение не в текстовом формате было извлечено…
Имя     : IMG_0322.JPG
Тип     : image/jpeg
Размер  : 59123 байтов
Описание: отсутствует
Url     : http://weborto.net:8080/pipermail/ortho/attachments/20141120/eb188f24/attachment-0006.jpeg 


Подробная информация о списке рассылки Ortho