[Ortho]

Djoldas Kuldjanov orthoforum weborto.net
24 10:34:41 YEKT 2014


Дорогой Абдурашид,

Описанный Леонидом метод - выход из положения, но подойдет больше для 
лечения свежих переломов, чем для ложного сустава. Когда накостный 
остеосинтез был представлен только пластиной Лэна и доминировала 
идея“Decision Non Incision”, наружный фиксатор был универсальным 
фиксатором для всех видов переломов, включая открытые. Тактику считали 
правильной, и все публикации (диссертации) писали о преимуществе 
закрытого остеосинтеза. Но рекламируемое преимущество только до 
операции, потому что больше чем половину репозиций ключицы делают 
открытым методом. Отсутствует информация насчет осложнений и трудностей, 
например, установки спицы. Возможно, для Леонида или для врачей из 
Кургана это проблем не составляет, но для большинства не просто. Для 
сверления кости потребуется приподнять ключицу, и в результате 
разрываются мягкие ткани сзади. Это приводит к нарушению кровообращения 
сзади и поэтому такие операции часто осложняются дефектами кости!

Отсутствие фиксирующего материала усложняет дело, но в эру навигационной 
техники, роботов (DaVinci) и имея арсенал пластин, не стоит увлекаться 
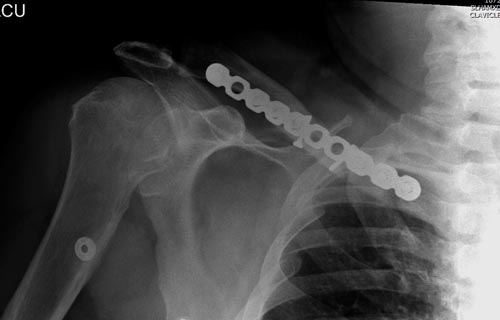
не очень популярным методом! Пластины в сравнении со спицами лучше 
создают стабильность и межфрагментарную компрессию. Минимальное 
разрушение мягкотканого футляра происходит спереди, где пластина, что 
благоприятно влияет на сращение. А компрессия при фиксации спицей 
приведет к укорочению и дисбалансу мышечной системы. Пластина 
предупреждает укорочение и удерживает костный графт при необходимости.

В данном случае надо подождать, случай не ургентный! Тем более, у 
большинства со старым ложным суставом функцию конечности не теряется, и 
они бессимптомны. Боли бывают только в начальном периоде, затем 
интенсивность уменьшается, и к ним привыкают. К врачам они обращаются, 
когда имеется косметический дефект, или когда им напоминают о ложном 
суставе.
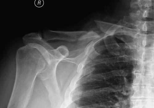
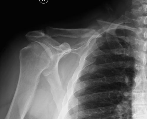
В заключение, только 25% изолированных переломов ключицы, леченных 
консервативным методом не срастаются, а из них 1/3 симптоматические. 
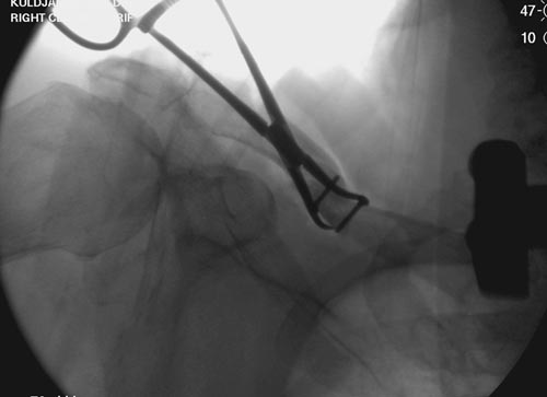
Болезненные ложные суставы надо оперировать, и здесь представлен случай 
свежего болезненного ложного сустава, оперированного через 4 месяца.
Освобожден средний фрагмент и боковая компрессия лагированием, фиксация 
пластиной..

Djoldas Kuldjanov, M.D.
Professor
Department of Orthopedic Surgery
St. Louis University


-----------   -----------
Вложение не в текстовом формате было извлечено…
Имя     : Clavicle 1.jpg
Тип     : image/jpeg
Размер  : 28591 байтов
Описание: отсутствует
Url     : http://weborto.net:8080/pipermail/ortho/attachments/20141124/0ee515fb/attachment-0033.jpg 
-----------   -----------
Вложение не в текстовом формате было извлечено…
Имя     : Clavicle 2.jpg
Тип     : image/jpeg
Размер  : 26600 байтов
Описание: отсутствует
Url     : http://weborto.net:8080/pipermail/ortho/attachments/20141124/0ee515fb/attachment-0034.jpg 
-----------   -----------
Вложение не в текстовом формате было извлечено…
Имя     : Clavicle 3 one month.jpg
Тип     : image/jpeg
Размер  : 30173 байтов
Описание: отсутствует
Url     : http://weborto.net:8080/pipermail/ortho/attachments/20141124/0ee515fb/attachment-0035.jpg 
-----------   -----------
Вложение не в текстовом формате было извлечено…
Имя     : Clavicle 4 one month.jpg
Тип     : image/jpeg
Размер  : 26336 байтов
Описание: отсутствует
Url     : http://weborto.net:8080/pipermail/ortho/attachments/20141124/0ee515fb/attachment-0036.jpg 
-----------   -----------
Вложение не в текстовом формате было извлечено…
Имя     : Clavicle 5 3 month.jpg
Тип     : image/jpeg
Размер  : 30063 байтов
Описание: отсутствует
Url     : http://weborto.net:8080/pipermail/ortho/attachments/20141124/0ee515fb/attachment-0037.jpg 
-----------   -----------
Вложение не в текстовом формате было извлечено…
Имя     : Clavicle 6 3 month.jpg
Тип     : image/jpeg
Размер  : 31469 байтов
Описание: отсутствует
Url     : http://weborto.net:8080/pipermail/ortho/attachments/20141124/0ee515fb/attachment-0038.jpg 
-----------   -----------
Вложение не в текстовом формате было извлечено…
Имя     : Clavicle 7 5 month.jpg
Тип     : image/jpeg
Размер  : 25179 байтов
Описание: отсутствует
Url     : http://weborto.net:8080/pipermail/ortho/attachments/20141124/0ee515fb/attachment-0039.jpg 
-----------   -----------
Вложение не в текстовом формате было извлечено…
Имя     : Clavicle 8 5 month.jpg
Тип     : image/jpeg
Размер  : 25864 байтов
Описание: отсутствует
Url     : http://weborto.net:8080/pipermail/ortho/attachments/20141124/0ee515fb/attachment-0040.jpg 
-----------   -----------
Вложение не в текстовом формате было извлечено…
Имя     : Clavicle 10 surgery.jpg
Тип     : image/jpeg
Размер  : 28402 байтов
Описание: отсутствует
Url     : http://weborto.net:8080/pipermail/ortho/attachments/20141124/0ee515fb/attachment-0041.jpg 
-----------   -----------
Вложение не в текстовом формате было извлечено…
Имя     : Clavicle 11 surgery.jpg
Тип     : image/jpeg
Размер  : 30211 байтов
Описание: отсутствует
Url     : http://weborto.net:8080/pipermail/ortho/attachments/20141124/0ee515fb/attachment-0042.jpg 
-----------   -----------
Вложение не в текстовом формате было извлечено…
Имя     : Clavicle CRM 9.jpg
Тип     : image/jpeg
Размер  : 26035 байтов
Описание: отсутствует
Url     : http://weborto.net:8080/pipermail/ortho/attachments/20141124/0ee515fb/attachment-0043.jpg 


Ortho