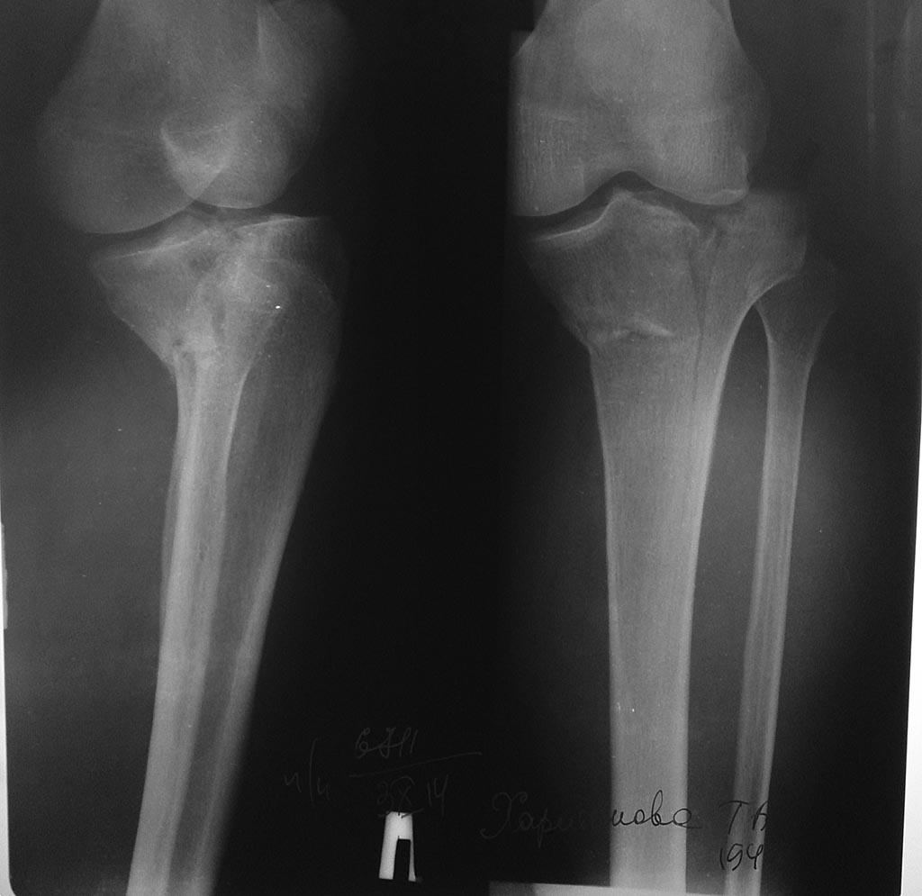
[Ortho] перелом медиального мыщелка большеберцовой кости

Тимур orthoforum на weborto.net
Чт Окт 9 01:07:53 YEKST 2014


Доброго времени суток! Прошу совета. Женщена 66 лет упала с подножки 5 
дней назад. Состояние мягких тканей удовлетворительное. Соматически не 
отягощена. Посоветуйте, пожалуйста, чем оперировать и из какого доступа. 
По КТ изолированный перелом мыщелка(часть латерального целая)


Тимур


----------- следущая часть -----------
Вложение не в текстовом формате было извлечено…
Имя     : DSC_0030[1].JPG
Тип     : image/jpeg
Размер  : 95368 байтов
Описание: отсутствует
Url     : http://weborto.net:8080/pipermail/ortho/attachments/20141009/213e8d15/attachment.jpe 


Подробная информация о списке рассылки Ortho