[Ortho]

orthoforum weborto.net
13 21:25:53 YEKST 2014


Уважаемые коллеги!
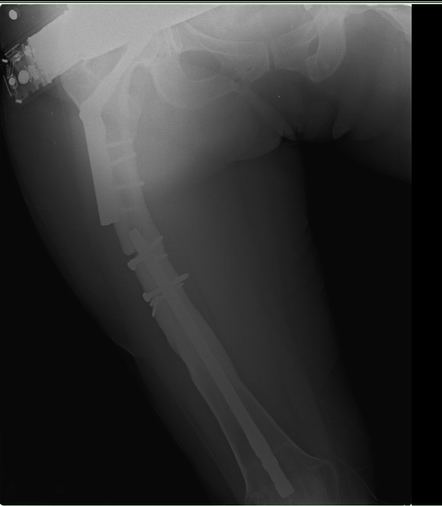
Хочется услышать ваше мнение. Пациентка 48 лет, без вредных привычек, 
получила свежую травму (с\3 диафиза правого бедра) при падении с лестницы.



Ранее (8 лет назад) была множественная травма, на бедре–  перелом с\3, 
выполнен остеосинтез DFN  Synthes (в др. ЛПУ). Перелом диафиза 
консолидировался очень медленно, от реостеосинтеза категорически 
отказывалась, в результате к 2 годам наступило сращение. Беспокоили боли 
при нагрузке, на рентгенограммах–  зона разрежения вокруг кончика 
(проксимального) стержня и проксимальных винтов, согласилась лишь на 
удаление дистальных винтов для динамизации стержня. Пациентка пропала из 
поля зрения. Затем спустя 2 года при падении получает чрезвертельный 
перелом, выполнен остеосинтез бедренным винтом ( DHS ).
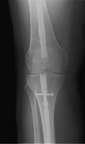
Планирую удаление имплантов (кроме проволоки), рассверливание 
костно-мозгового канала (сейчас стоит гвоздь 10 мм, попытаюсь 
рассверлить до 14-15 диаметра, чтобы поставить 12 мм или 13 мм гвоздь), 
внутрикостный остеосинтез блокированным стержнем (динамически).


Теперь вопросы:

1.Так как нет оригинального инструмента  Synthes , то интересует резьба 
на конце стержня какой диаметр и метрическая ли она.

2.Есть ли заглушка на стержне (мне так кажется, что нет).

3.Нужно ли заполнять полость аутокостью от шеечного винта.

Извиняюсь за качество снимков.

Спасибо!

С уважением, А.Минервин.


-----------   -----------
Вложение не в текстовом формате было извлечено…
Имя     : 1.jpg
Тип     : image/jpeg
Размер  : 11367 байтов
Описание: отсутствует
Url     : http://weborto.net:8080/pipermail/ortho/attachments/20141013/29471ae0/attachment-0003.jpg 
-----------   -----------
Вложение не в текстовом формате было извлечено…
Имя     : 2.jpg
Тип     : image/jpeg
Размер  : 8000 байтов
Описание: отсутствует
Url     : http://weborto.net:8080/pipermail/ortho/attachments/20141013/29471ae0/attachment-0004.jpg 
-----------   -----------
Вложение не в текстовом формате было извлечено…
Имя     : 3.jpg
Тип     : image/jpeg
Размер  : 9553 байтов
Описание: отсутствует
Url     : http://weborto.net:8080/pipermail/ortho/attachments/20141013/29471ae0/attachment-0005.jpg 


Ortho