[Ortho] Опухоль дистального метаэпифиза бедренной кости

Дедок Михаил orthoforum на weborto.net
Пт Окт 17 01:38:21 YEKST 2014


Помогите определиться с дальнейшей тактикой у молодой женщины с опухолью 
дистального
отдела бедра.

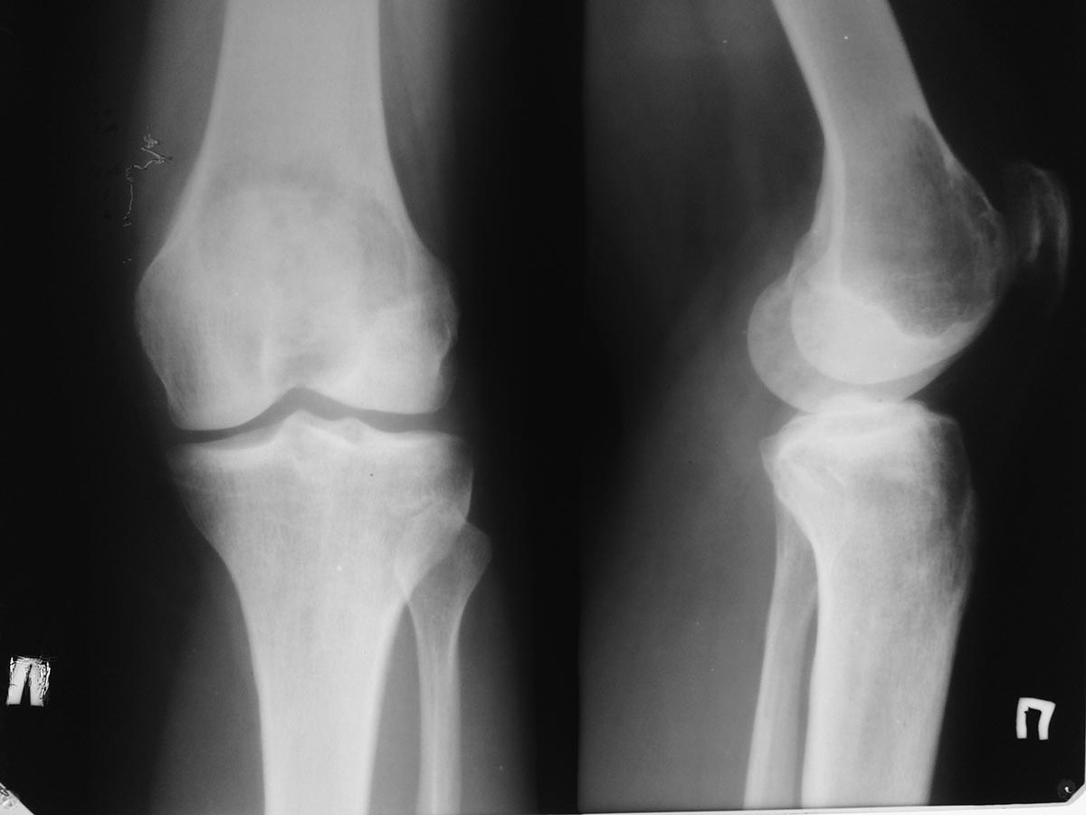
Обратилась на консультацию молодая женщина 34 лет. В январе появилсь 
боль в правом коленном суставе. Амбулаторно р- гр в прямой проекции - 
норма. Была незначительная травма. Боль усилилась. На днях повторно 
обратилась в поликлинику на рентгенограммах выявлена опухоль дистального 
метаэпифиза бедренгой кости. Сделано мрт. Мягкотканного компонента нет.
Суставной хрящ пока интактен. Рентгенограмм прилагается. Завтра выложу 
мрт и сделаем ркт (тоже выложу) Предполагаю, что это 
остеобластокластома. Биопсию не сделаем, кт с контрастом
и сцинтиграфию тоже. Учитывая угрозу патологического перелома 
рекомендовал костыли.
Вопросы: предположительный диагноз ? Куда направить для консультации и 
лечение, чтобы не жевать сопли и по быстрому оформить квоты на ВМП. 
Заранее спасибо!
Дедок Михаил
Гуз Узловская РБ


----------- следущая часть -----------
Вложение не в текстовом формате было извлечено…
Имя     : image.jpg
Тип     : image/jpeg
Размер  : 68668 байтов
Описание: отсутствует
Url     : http://weborto.net:8080/pipermail/ortho/attachments/20141016/ed7b792f/attachment-0001.jpg 


Подробная информация о списке рассылки Ortho