[Ortho]

miner_m mail.ru
21 17:36:43 YEKST 2014


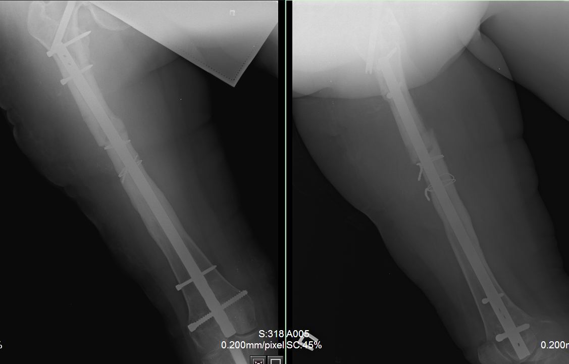
Уважаемые коллеги! Кратко отчитаюсь по представленному случаю.
Вчера пациентка прооперирована. Как и ожидалось, основные трудности были с удалением металла. Удаление произведено из трех доступов: где пластина 8 см, блокирующие винты- 5 см, сам стержень 3 см.. Дольше всего пришлось извлекать  end  cap  у стержня, далее сломался 1 винт в пластине (долото в помощь, но аккуратно, только наружный кортикал, из внутреннего - выкручен). Рассверлил дистальный отломок до 14 мм, проксимальный до 13 мм. Стержень  ChM , диаметр12 мм. Долго существующая деформация бедра предопределила и положение стержня в проксимальном отломке – тесно к наружному кортикалу, надеюсь, до угрожающего конфликта не дойдет.
Спасибо всем участникам! Критика приветствуется  J .
P . S . Резьба на стержне действительно М8. Если кому нужно, в сети есть брошюрка Synthes Nail Remova l  с указанием резьб. С уважением, А.Минервин.

-----------   -----------
Вложение в формате HTML было извлечено…
URL: http://weborto.net:8080/pipermail/ortho/attachments/20141021/25314f9a/attachment-0001.htm 
-----------   -----------
Вложение не в текстовом формате было извлечено…
Имя     : отсутствует
Тип     : image/jpeg
Размер  : 40838 байтов
Описание: отсутствует
Url     : http://weborto.net:8080/pipermail/ortho/attachments/20141021/25314f9a/attachment-0001.jpeg 


Ortho