[Ortho] Impingement - тазабедренный сустав.

Андрей Кияночкин orthoforum на weborto.net
Вт Окт 21 18:35:01 YEKST 2014


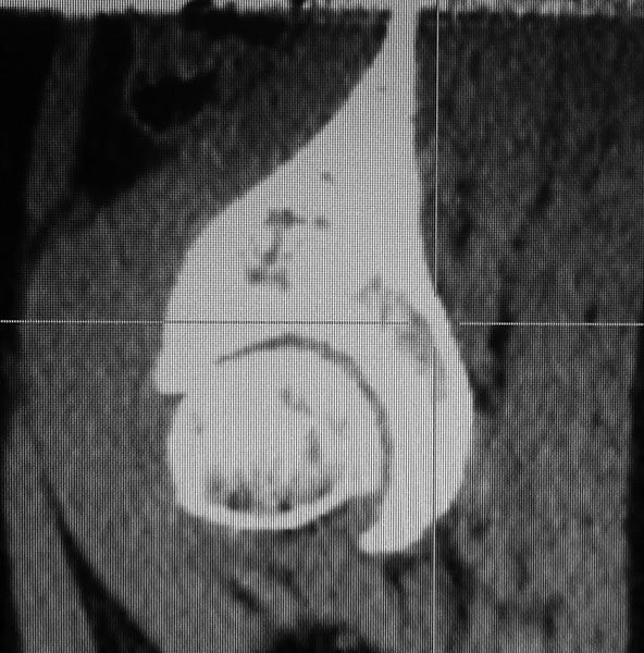
Доброго времени суток уважаемые коллеги посоветуйте как поступить в 
данной ситуации.Больная 48 лет, работает рентген лаборантом. В течение 
трех лет отмечает боли в левом тазобедренном суставе после работы и в 
ночное время. Консервативное лечение без эффекта. Ходит с едва заметной 
хромотой. Движения в лев Т/беддр.суставе сгибание 110
разгибание 5 Ротационные нар 40 кнутри 30 гр внутренн.ротация резко 
болезненна. К травматологам не обращалась до сего момента - боится 
эндопроезирования! На КТ выявлен Impingement передне- верхнего края 
вертлужной впадины с головкой бедра. Из кагого доступа
лучше убрать? Или вообще не убирать?


Андрей Кияночкин

----------- следущая часть -----------
Вложение не в текстовом формате было извлечено…
Имя     : 20141021_151605.jpg
Тип     : image/jpeg
Размер  : 101784 байтов
Описание: отсутствует
Url     : http://weborto.net:8080/pipermail/ortho/attachments/20141021/41ec6e28/attachment-0001.jpg 


Подробная информация о списке рассылки Ortho