[Ortho] Странное пятно вокруг послеоперационного рубца

Бережной Сергей orthoforum на weborto.net
Вт Окт 21 22:12:14 YEKST 2014


Уважаемые коллеги. В сообщении от 02 июля 2013 г. я уже писал об этом 
случае.

Эндопротезирование пациенту 49 лет выполнил в 2007 г. по поводу 
коксартроза. В начале мая 2013 г. в состоянии запоя он упал со скамейки, 
после чего отметил припухлость в области паха и левой ягодицы. За 
помощью обратился почти через 2 мес. При пункции было удалено около 200 
мл стерильной гноеподобной жидкости из области эндопротеза. За несколько 
дней жидкость снова набралась.

04.07.13 произведена санация гнойной полости с последующим 
вакуумированием раны. Во время операции признаков нестабильности и 
износа компонентов протеза, а также дебриса выявлено не было. Заменить 
полиэтиленовый вкладыш не удалось из-за неисправного запорного 
механизма. 08.07.13 выполнена пластика раны местными тканями. Дренаж 
удален через день.

На фоне гладкого послеоперационного периода, 17.07.13, вследствие 
нарушения режима, произошел вывих головки эндопротеза, вправленный в тот 
же день закрыто. Послеоперационная рана зажила первичным натяжением, 
выписан 29.07 с рекомендацией ходить в ортезе при помощи костылей с 
частичной нагрузкой на левую ногу до 1 мес. после вывиха
эндопротеза.

Через неделю снова ╚ ушел в запой ╩ и был госпитализирован с очередным 
вывихом протеза. Подобные эпизоды повторялись до декабря 2013 г. еще 5 
раз. Каждый раз удалялось до 100 мл стерильной серозно-геморрагической 
жидкости. При последней госпитализации была отмечена гиперемия 
дистальной 1/3 послеоперационного рубца.

Впоследствии пациенту удалось победить порочное пристрастие. Сейчас 
работает по специальности (водитель), при длительной ходьбе и к концу 
рабочего дня отмечает дискомфорт или легкую болезненность в области 
тазобедренного сустава. Наблюдаю его с интервалом в 2-3 месяца. Каждый 
раз пунктирую область эндопротеза, последние 2 раза жидкости практически 
не было. СОЭ 25-40, С-рб до 15-20. Мыслей о замене протеза сейчас нет. 
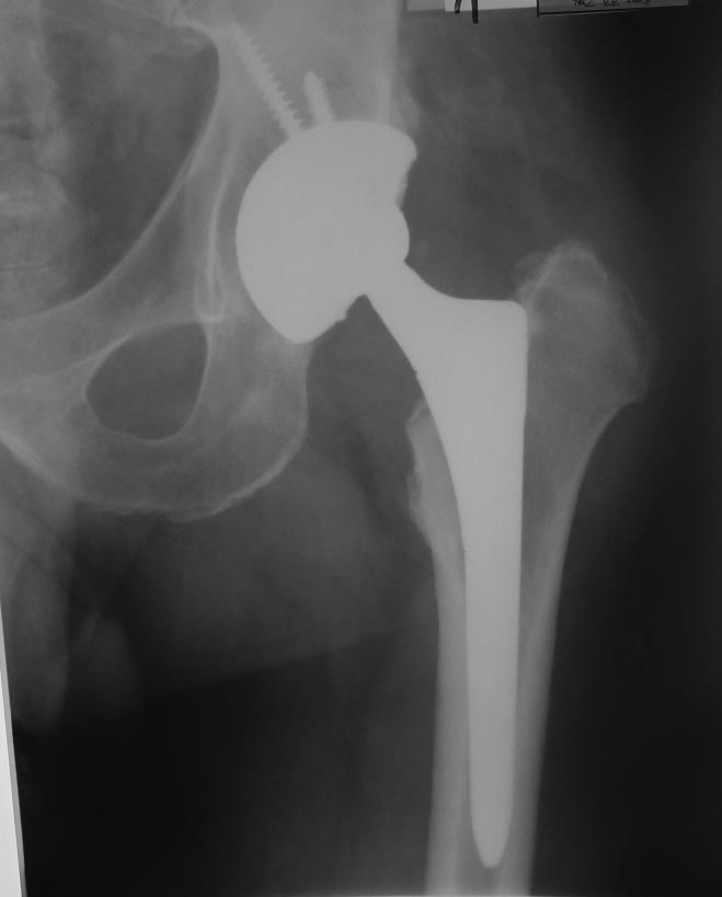
Последние (июньские) рентгенограммы без особенностей (прилагаются). 
Смущает только обширное синюшно-розовое пятно с отечной
кожей (на фото), появившееся в декабре 13 г.: признаком чего оно может 
являться? Имеет ли прогностическую ценность? Встречался ли кто-нибудь с 
подобным? Заранее спасибо за ответы.
Бережной Сергей


----------- следущая часть -----------
Вложение не в текстовом формате было извлечено…
Имя     : image001.jpg
Тип     : image/jpeg
Размер  : 33330 байтов
Описание: отсутствует
Url     : http://weborto.net:8080/pipermail/ortho/attachments/20141021/3f8123c3/attachment-0003.jpg 
----------- следущая часть -----------
Вложение не в текстовом формате было извлечено…
Имя     : image003.jpg
Тип     : image/jpeg
Размер  : 46584 байтов
Описание: отсутствует
Url     : http://weborto.net:8080/pipermail/ortho/attachments/20141021/3f8123c3/attachment-0004.jpg 
----------- следущая часть -----------
Вложение не в текстовом формате было извлечено…
Имя     : image005.jpg
Тип     : image/jpeg
Размер  : 73092 байтов
Описание: отсутствует
Url     : http://weborto.net:8080/pipermail/ortho/attachments/20141021/3f8123c3/attachment-0005.jpg 


Подробная информация о списке рассылки Ortho