[Ortho] Ортопедическая загадка

Sereda Andrey orthoforum на weborto.net
Чт Окт 23 21:23:26 YEKST 2014


Уважаемые коллеги, добрый день. Хочется поделиться интересным 
наблюдением, поэтому тему
назвал так специально - ортопедическая загадка, а не "Help, что делать?"

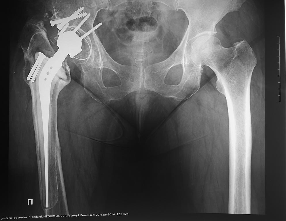
Итак, имеем такой вот рентген. Что за протез был установлен 17 лет 
назад? Фото с ответом выложу
в понедельник. Лично я был мягко говоря весьма удивлен.
Sereda Andrey


----------- следущая часть -----------
Вложение не в текстовом формате было извлечено…
Имя     : WP_20141023_002.jpg
Тип     : image/jpeg
Размер  : 94544 байтов
Описание: отсутствует
Url     : http://weborto.net:8080/pipermail/ortho/attachments/20141023/f736856d/attachment-0001.jpg 


Подробная информация о списке рассылки Ortho