[Ortho] Остеомиелит-ваши методы лечения

Djoldas Kuldjanov orthoforum на weborto.net
Вс Окт 26 09:54:45 YEKT 2014


В данном случае причиной остеомиелита может быть чрезмерное увлечение 
наружным фиксатором, потому что неоднократные манипуляции по установке 
или перемонтаже не проходят даром, может произойти воспаление мягких 
тканей, затем остеомиелит! Для damage control можно установить наружный 
фиксатор, но на бедре, если его оставить до окончания лечения, имеется 
риск осложнения, и поэтому при первой возможности после стабилизации 
состояния лучше перевести на менее агрессивный метод фиксации (пластина 
или гвоздь).

Для диагностики остеомиелита достаточны клинические проявления и обычный 
снимок. КТ срезы отвечает на вопросы консолидации перелома, а 
фистулография при краевых поражениях дает топографию, но при вовлечении 
канала не имеет диагностической ценности!

Любые долго незаживающие послеоперационные раны или образование свищей 
после установки гвоздя являются сигналом для срочной замены. Ожидания, 
антибиотики и долгие обработки ран не очень эффективны. Чем дольше 
ожидание, тем хуже для канала. Рекомендуется удалить гвоздь,  Irrigation 
and Debridement (I&D), до очистки канала обработать римером, и 
заполнение пустоты (spacer).

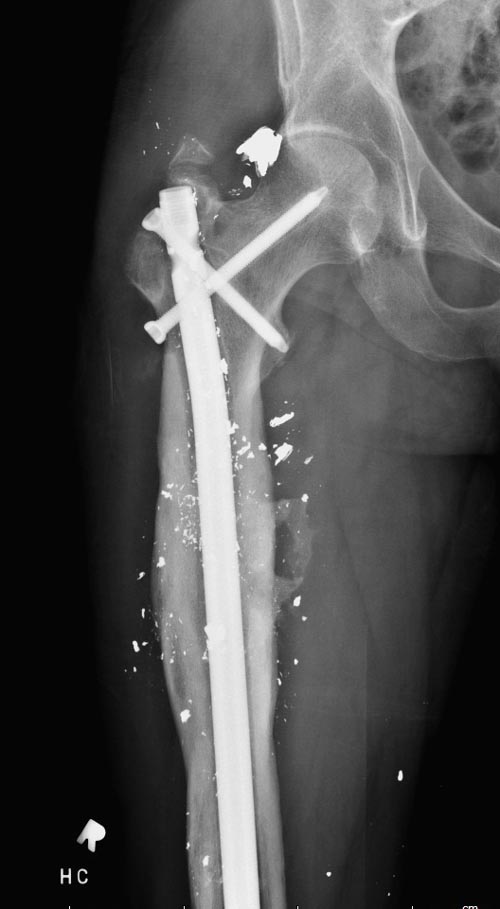
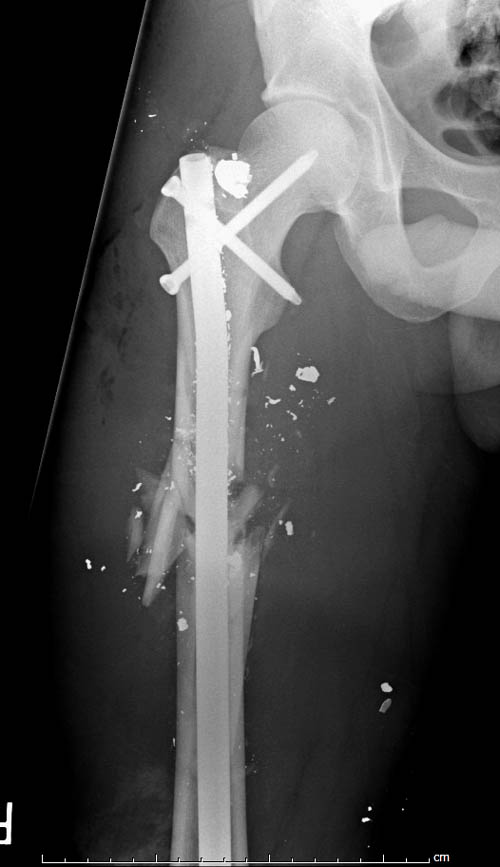
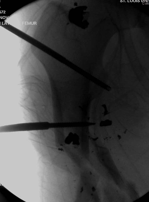
На снимках осложнение огнестрельного перелома бедра поздней инфекцией. 7 
лет назад оперирован: правое бедро, сперва на ExFix, затем заменен на 
гвоздь, а левая - гвоздь при поступлении.
Беспокойство проявил недавно, по поводу жалоб на боли сделано МРТ и 
дренирование абсцесса терапевтами. Мы удалили гвоздь, сделали I&D, 
рассверливание канала, и ввели гвоздь с антибиотиком. Для гвоздя 
использовали стерильную трубку-форму, а антибиотик по 1.0 Tobramycin c 
Vancomycin.

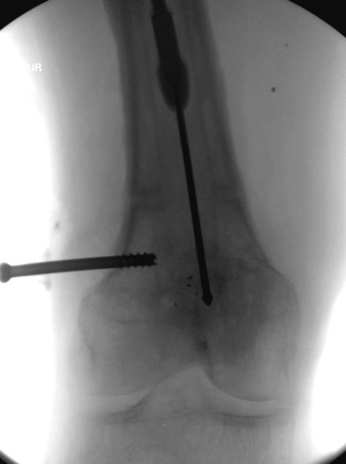
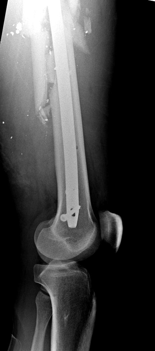
В замкнутом без перелома пространстве во время риминга повышается 
давление внутри канала, и имеется риск тромбообразования. Для 
профилактики и для дренажа - канюлированный винт 6.5 мм в дистальной 
части бедра. Обработку заканчивают культурой из раны и канала. Иногда 
процедуру надо будет повторить.

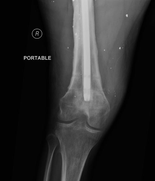
Рекомендуется: антибиотический гвоздь на цементе. Нагрузку можно 
разрешить сразу, перелом сросся давно!
Djoldas Kuldjanov

----------- следущая часть -----------
Вложение не в текстовом формате было извлечено…
Имя     : 1 GSW Rt femur.jpg
Тип     : image/jpeg
Размер  : 39823 байтов
Описание: отсутствует
Url     : http://weborto.net:8080/pipermail/ortho/attachments/20141026/696ed1bb/attachment-0019.jpg 
----------- следущая часть -----------
Вложение не в текстовом формате было извлечено…
Имя     : 2 GSW Rt femur.jpg
Тип     : image/jpeg
Размер  : 28921 байтов
Описание: отсутствует
Url     : http://weborto.net:8080/pipermail/ortho/attachments/20141026/696ed1bb/attachment-0020.jpg 
----------- следущая часть -----------
Вложение не в текстовом формате было извлечено…
Имя     : 3 GSW Rt femur.jpg
Тип     : image/jpeg
Размер  : 28793 байтов
Описание: отсутствует
Url     : http://weborto.net:8080/pipermail/ortho/attachments/20141026/696ed1bb/attachment-0021.jpg 
----------- следущая часть -----------
Вложение не в текстовом формате было извлечено…
Имя     : 4 GSW Rt femur postop.jpg
Тип     : image/jpeg
Размер  : 51484 байтов
Описание: отсутствует
Url     : http://weborto.net:8080/pipermail/ortho/attachments/20141026/696ed1bb/attachment-0022.jpg 
----------- следущая часть -----------
Вложение не в текстовом формате было извлечено…
Имя     : 5 GSW Rt femur postop.jpg
Тип     : image/jpeg
Размер  : 60191 байтов
Описание: отсутствует
Url     : http://weborto.net:8080/pipermail/ortho/attachments/20141026/696ed1bb/attachment-0023.jpg 
----------- следущая часть -----------
Вложение не в текстовом формате было извлечено…
Имя     : 6 GSW femur postop.jpg
Тип     : image/jpeg
Размер  : 54809 байтов
Описание: отсутствует
Url     : http://weborto.net:8080/pipermail/ortho/attachments/20141026/696ed1bb/attachment-0024.jpg 
----------- следущая часть -----------
Вложение не в текстовом формате было извлечено…
Имя     : 11 Infected Rt femur .jpg
Тип     : image/jpeg
Размер  : 52183 байтов
Описание: отсутствует
Url     : http://weborto.net:8080/pipermail/ortho/attachments/20141026/696ed1bb/attachment-0025.jpg 
----------- следущая часть -----------
Вложение не в текстовом формате было извлечено…
Имя     : 12 Rt femur infected.jpg
Тип     : image/jpeg
Размер  : 39927 байтов
Описание: отсутствует
Url     : http://weborto.net:8080/pipermail/ortho/attachments/20141026/696ed1bb/attachment-0026.jpg 
----------- следущая часть -----------
Вложение не в текстовом формате было извлечено…
Имя     : 13 abx 11.jpg
Тип     : image/jpeg
Размер  : 58207 байтов
Описание: отсутствует
Url     : http://weborto.net:8080/pipermail/ortho/attachments/20141026/696ed1bb/attachment-0027.jpg 
----------- следущая часть -----------
Вложение не в текстовом формате было извлечено…
Имя     : 14 GSW Rt femur infected CRM.jpg
Тип     : image/jpeg
Размер  : 31281 байтов
Описание: отсутствует
Url     : http://weborto.net:8080/pipermail/ortho/attachments/20141026/696ed1bb/attachment-0028.jpg 
----------- следущая часть -----------
Вложение не в текстовом формате было извлечено…
Имя     : 15 abx.jpg
Тип     : image/jpeg
Размер  : 130371 байтов
Описание: отсутствует
Url     : http://weborto.net:8080/pipermail/ortho/attachments/20141026/696ed1bb/attachment-0029.jpg 
----------- следущая часть -----------
Вложение не в текстовом формате было извлечено…
Имя     : 15 GSW Rt femur infected CRM.jpg
Тип     : image/jpeg
Размер  : 29631 байтов
Описание: отсутствует
Url     : http://weborto.net:8080/pipermail/ortho/attachments/20141026/696ed1bb/attachment-0030.jpg 
----------- следущая часть -----------
Вложение не в текстовом формате было извлечено…
Имя     : 16 abx 8.jpg
Тип     : image/jpeg
Размер  : 69234 байтов
Описание: отсутствует
Url     : http://weborto.net:8080/pipermail/ortho/attachments/20141026/696ed1bb/attachment-0031.jpg 
----------- следущая часть -----------
Вложение не в текстовом формате было извлечено…
Имя     : 17 abx 10.jpg
Тип     : image/jpeg
Размер  : 67392 байтов
Описание: отсутствует
Url     : http://weborto.net:8080/pipermail/ortho/attachments/20141026/696ed1bb/attachment-0032.jpg 
----------- следущая часть -----------
Вложение не в текстовом формате было извлечено…
Имя     : 19.jpg
Тип     : image/jpeg
Размер  : 79059 байтов
Описание: отсутствует
Url     : http://weborto.net:8080/pipermail/ortho/attachments/20141026/696ed1bb/attachment-0033.jpg 
----------- следущая часть -----------
Вложение не в текстовом формате было извлечено…
Имя     : 20 abx 2.jpg
Тип     : image/jpeg
Размер  : 52094 байтов
Описание: отсутствует
Url     : http://weborto.net:8080/pipermail/ortho/attachments/20141026/696ed1bb/attachment-0034.jpg 
----------- следущая часть -----------
Вложение не в текстовом формате было извлечено…
Имя     : 21 GSW Rt femur infected CRM.jpg
Тип     : image/jpeg
Размер  : 46959 байтов
Описание: отсутствует
Url     : http://weborto.net:8080/pipermail/ortho/attachments/20141026/696ed1bb/attachment-0035.jpg 
----------- следущая часть -----------
Вложение не в текстовом формате было извлечено…
Имя     : 22 GSW Rt femur infected CRM.jpg
Тип     : image/jpeg
Размер  : 39460 байтов
Описание: отсутствует
Url     : http://weborto.net:8080/pipermail/ortho/attachments/20141026/696ed1bb/attachment-0036.jpg 
----------- следущая часть -----------
Вложение не в текстовом формате было извлечено…
Имя     : 23 GSW Rt femur infected CRM.jpg
Тип     : image/jpeg
Размер  : 27531 байтов
Описание: отсутствует
Url     : http://weborto.net:8080/pipermail/ortho/attachments/20141026/696ed1bb/attachment-0037.jpg 


Подробная информация о списке рассылки Ortho