[Ortho] Остеомиелит-ваши методы лечения

Djoldas Kuldjanov orthoforum на weborto.net
Вт Окт 28 20:56:26 YEKT 2014


В борьбе против инфекции главная задача - удаление пораженного участка 
канала рассверливанием до очистки (обычно на пару мм больше, чем 
установленный гвоздь) и уменьшение пустоты внутри канала.  Канал надо 
хорошо промыть и взять посев на культуру с поверхности раны. Назначения 
антибиотиков после операции зависит от контаминации и на основании 
чувствительности, иногда до двух месяцев, а отрицательный результат не 
требует антибиотиков.

В большинстве случаев инфицирование канала происходит в ранний период, 
т.е. до наступления сращения кости. Рассверливание канала создает 
условия для стимуляции сращения и удаляет пораженные участки канала. 
После такой обработки канала наблюдается бурное сращение за короткий 
период, и необходимость в замене гвоздя на больший по диаметру отпадает. 
Бессимптомные имплантаты, включая гвозди с антибиотиком, мы не трогаем, 
можно их оставить на долгое время!

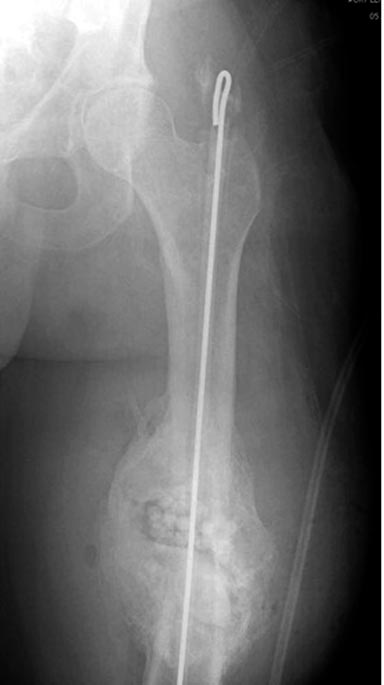
Гвозди с антибиотиком все custom made, т.е. делаются во время операции. 
Диаметр зависит от внутреннего диаметра канала. Обычно достаточным 
бывает 10 мм, и редко применяется готовые гвозди для армирования 
цемента. Трубка в 10 мм для плевральной полости как форма и армирование 
2.8 или 3.2 мм guide wire для гвоздей, которая срезается по длине, на 
конце делается петля для облегчения удаления.

В представленном случае, из-за большого диаметра первичного гвоздя 
(13мм) применили готовый гвоздь в 11 мм, а трубка с внутренним диаметром 
16 мм.


Здесь представлены примеры подготовки гвоздя....

Djoldas Kuldjanov


----------- следущая часть -----------
Вложение не в текстовом формате было извлечено…
Имя     : Custom made abx nail 2.jpg
Тип     : image/jpeg
Размер  : 47912 байтов
Описание: отсутствует
Url     : http://weborto.net:8080/pipermail/ortho/attachments/20141028/434cbcc9/attachment-0003.jpg 
----------- следущая часть -----------
Вложение не в текстовом формате было извлечено…
Имя     : Custom made abx nail 3.jpg
Тип     : image/jpeg
Размер  : 31086 байтов
Описание: отсутствует
Url     : http://weborto.net:8080/pipermail/ortho/attachments/20141028/434cbcc9/attachment-0004.jpg 
----------- следущая часть -----------
Вложение не в текстовом формате было извлечено…
Имя     : Custom made abx nail 5.jpg
Тип     : image/jpeg
Размер  : 39503 байтов
Описание: отсутствует
Url     : http://weborto.net:8080/pipermail/ortho/attachments/20141028/434cbcc9/attachment-0005.jpg 


Подробная информация о списке рассылки Ortho