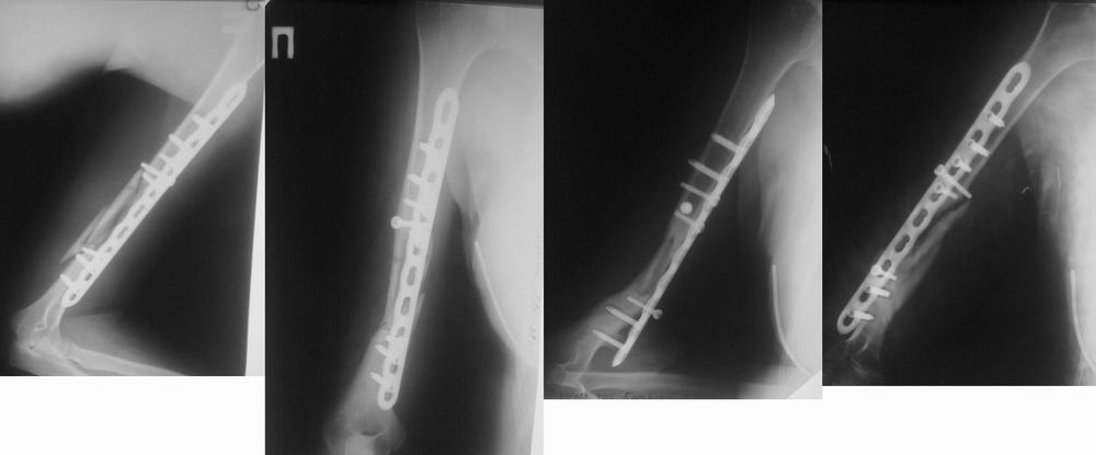
[Ortho] Ложный сустав плечевой кости

Станислав Дмитриев orthoforum на weborto.net
Пт Окт 31 20:21:15 YEKT 2014


Снимки в динамике
Станислав Дмитриев

----------- следущая часть -----------
Вложение не в текстовом формате было извлечено…
Имя     : 2.jpg
Тип     : image/jpeg
Размер  : 30228 байтов
Описание: отсутствует
Url     : http://weborto.net:8080/pipermail/ortho/attachments/20141031/06b53551/attachment-0001.jpg 


Подробная информация о списке рассылки Ortho