[Ortho] Остеосинтез tibia стержнем 2,5 мес., свищи

Григорий Карапетян orthoforum на weborto.net
Чт Сен 11 01:08:00 YEKST 2014


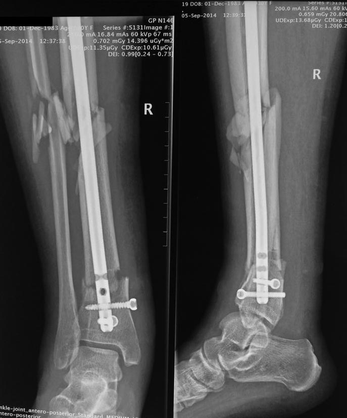
Что посоветуете, друзья. Оперировалась 2,5 мес назад, в одной из 
московских клиник, при ранней активизации через 1,5 мес появилась такая 
деформация, плюс имеются в области нижней трети голени свищи с 
незначительным отделяемым
Григорий Карапетян


----------- следущая часть -----------
Вложение не в текстовом формате было извлечено…
Имя     : 111.jpg
Тип     : image/jpeg
Размер  : 79534 байтов
Описание: отсутствует
Url     : http://weborto.net:8080/pipermail/ortho/attachments/20140910/d55eb7bd/attachment-0001.jpg 


Подробная информация о списке рассылки Ortho