[Ortho] голень, ложный сустав, гвоздь.

Денис Магданов orthoforum на weborto.net
Пн Сен 15 22:10:57 YEKST 2014


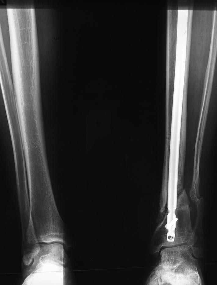
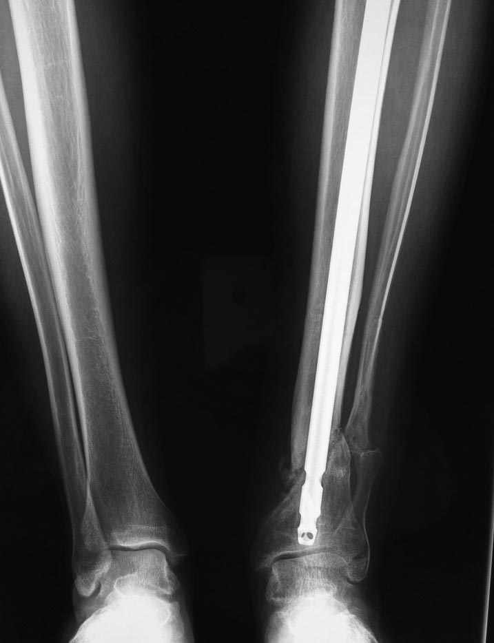
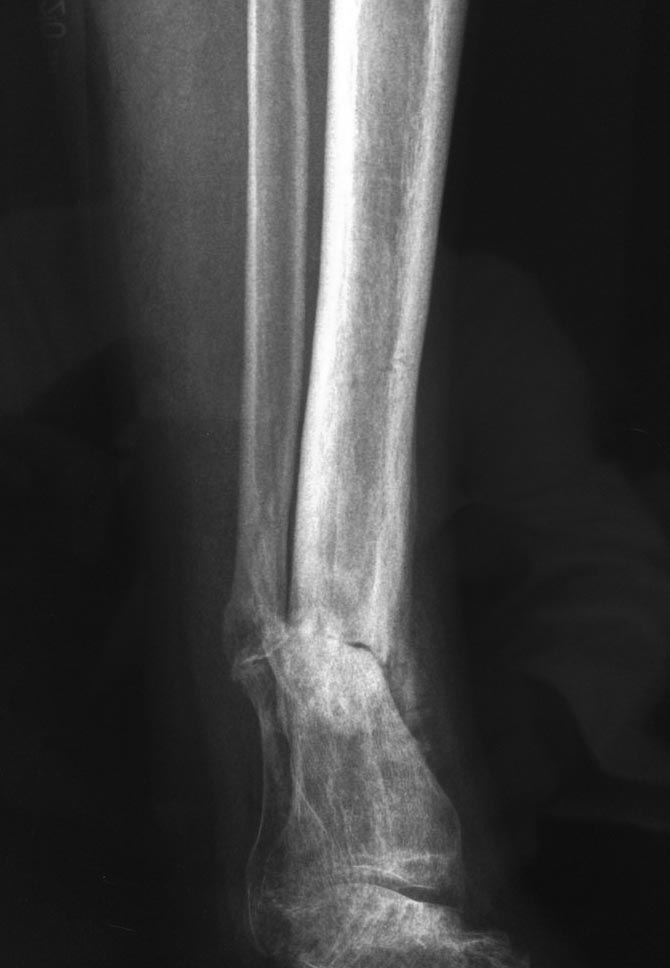
Уважаемые коллеги выразите Ваше мнение по следующему случаю. Молодой 
человек, 27 лет, находится на лечении с диагнозом: Ложный сустав 
большеберцовой кости в нижней трети, фиксированный интрамедуллярным 
блокированным стержнем (12.02.2014 г), ложный сустав малоберцовой кости 
в нижней трети левой голени, посттравматический артроз левого 
голеностопного сустава 1 стадии. Укорочение левой нижней конечности на 
1,0 см. Со слов пациента известно, что в детстве получил перелом 
большеберцовой кости, лечился консервативно, перелом сросся с 
деформацией. Травма в июле 2010 г. бытовая - упал на лестнице, получил 
перелом малоберцовой кости, и перелом большеберцовой кости без смещения.

Выполнена операция: Остеотомия большеберцовой кости в нижней трети,
интрамедуллярный блокированный остеосинтез большеберцовой кости левой 
голени. Гладкое течение послеоперационного периода. Перелом 
большеберцовой кости сросся. Функция конечности восстановилась.


В июне 2013 г выполнена операция удаление интрамедуллярного
стержня из большеберцовой кости левой голени. Гладкое течение 
послеоперационного периода. Приступил к занятием физкультурой, бег. В 
августе 2013 г спрыгнул с автобуса, с чемоданом в руках, появилась 
резкая боль в левой голени. За медицинской помощью обратился
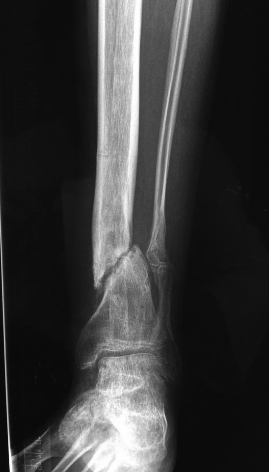
через 7 дней, при обследовании выявлено: Рефрактура большеберцовой 
кости. Рекомендовано консервативное лечение в гипсовой повязке.

В январе 2014 г. установлен диагноз: Ложный сустав большеберцовой кости 
в нижней трети, малоберцовой кости в нижней трети левой голени.
Контрактура сгибательно - разгибательная левого голеностопного сустава.
Посттравматический артроз левого голеностопного сустава 1 стадии. 
Укорочение левой нижней конечности на 1,0 см.

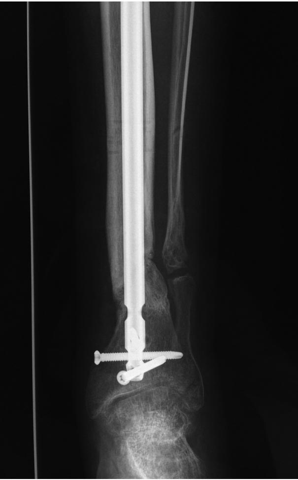
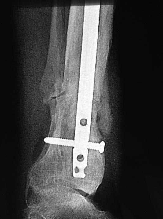
В феврале 2014 г выполнил первым этапом: Фиксацию ложного
сустава в АНФ с восстановлением осей сегментов. Через семь дней БИОС с 
рассверливанием.
После операции - вальгус голеностопного сустава. Гладкое течение 
послеоперационного периода. Нагрузка по переносимости боли. Через 6 
недель динамизация, через 2 недели стали мигрировать 2 фронтальных 
винта. Пытался подкрутить, пришлось удалить.

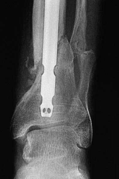
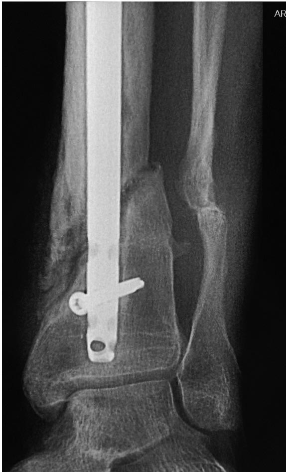
Через 6 мес. контроль - линия ложного сустава прослеживается, но имеется 
периостальная костная мозоль.
Не хватает стабильности.

Вопрос что делать?

Вариант 1- выполнить реостеосинтез с рассверливанием КМК и на 12 мм 
диаметра гвоздь (стоит 11 мм)и убрать ротацию стопы руками одномоментно 
или одномоментно при помощи АНФ во время операции.

Вариант 2 выполнить удаление гвоздя, сделать все то же, что 6 месяцев 
назад, но с восстановлением анатомических взаимоотношений в 
голеностопном суставе.

Вариант 3 Двухэтапно, вторым этапом пластина на большеберцовую кость + 
костная пластика области несращения.

Вариант 4 удаление гвоздя и лечение в КДА.

Вопросы: 1. Какой вариант оперативного лечения будет оптимальным в 
данном случае. 2. При двухэтапной методике в дистальном отломке имеется 
канал от гвоздя, как направить гвоздь к наружному отделу дистального 
отломка большеберцовой кости. Есть опасения, что гвоздик может пойти по 
тому же каналу. Использовать поллер спицы или винты - сработают ли? И 
достаточна ли будет жесткость фиксации дистального отломка 
большеберцовой кости на гвоздике при 3 4 винтах при реостеосинтезе гвоздем.
3. Нужен ли остеосинтез малоберцовой кости в нижней трети, с целью 
создания латеральной опоры. К сообществу за советом.
Денис Магданов


----------- следущая часть -----------
Вложение не в текстовом формате было извлечено…
Имя     : 1 (2).jpg
Тип     : image/jpeg
Размер  : 58356 байтов
Описание: отсутствует
Url     : http://weborto.net:8080/pipermail/ortho/attachments/20140915/4c29b5bf/attachment-0019.jpg 
----------- следущая часть -----------
Вложение не в текстовом формате было извлечено…
Имя     : 1.jpg
Тип     : image/jpeg
Размер  : 63183 байтов
Описание: отсутствует
Url     : http://weborto.net:8080/pipermail/ortho/attachments/20140915/4c29b5bf/attachment-0020.jpg 
----------- следущая часть -----------
Вложение не в текстовом формате было извлечено…
Имя     : 5 мес (2)_cr.jpg
Тип     : image/jpeg
Размер  : 78284 байтов
Описание: отсутствует
Url     : http://weborto.net:8080/pipermail/ortho/attachments/20140915/4c29b5bf/attachment-0021.jpg 
----------- следущая часть -----------
Вложение не в текстовом формате было извлечено…
Имя     : 5 мес_cr.jpg
Тип     : image/jpeg
Размер  : 53092 байтов
Описание: отсутствует
Url     : http://weborto.net:8080/pipermail/ortho/attachments/20140915/4c29b5bf/attachment-0022.jpg 
----------- следущая часть -----------
Вложение не в текстовом формате было извлечено…
Имя     : 5 мес(3)_cr.jpg
Тип     : image/jpeg
Размер  : 72224 байтов
Описание: отсутствует
Url     : http://weborto.net:8080/pipermail/ortho/attachments/20140915/4c29b5bf/attachment-0023.jpg 
----------- следущая часть -----------
Вложение не в текстовом формате было извлечено…
Имя     : 6 мес (2).jpg
Тип     : image/jpeg
Размер  : 65689 байтов
Описание: отсутствует
Url     : http://weborto.net:8080/pipermail/ortho/attachments/20140915/4c29b5bf/attachment-0024.jpg 
----------- следущая часть -----------
Вложение не в текстовом формате было извлечено…
Имя     : 6 мес (3).jpg
Тип     : image/jpeg
Размер  : 51844 байтов
Описание: отсутствует
Url     : http://weborto.net:8080/pipermail/ortho/attachments/20140915/4c29b5bf/attachment-0025.jpg 
----------- следущая часть -----------
Вложение не в текстовом формате было извлечено…
Имя     : 6 мес.jpg
Тип     : image/jpeg
Размер  : 63455 байтов
Описание: отсутствует
Url     : http://weborto.net:8080/pipermail/ortho/attachments/20140915/4c29b5bf/attachment-0026.jpg 
----------- следущая часть -----------
Вложение не в текстовом формате было извлечено…
Имя     : 6 недель.jpg
Тип     : image/jpeg
Размер  : 77601 байтов
Описание: отсутствует
Url     : http://weborto.net:8080/pipermail/ortho/attachments/20140915/4c29b5bf/attachment-0027.jpg 
----------- следущая часть -----------
Вложение не в текстовом формате было извлечено…
Имя     : 12 недель (2).jpg
Тип     : image/jpeg
Размер  : 60722 байтов
Описание: отсутствует
Url     : http://weborto.net:8080/pipermail/ortho/attachments/20140915/4c29b5bf/attachment-0028.jpg 
----------- следущая часть -----------
Вложение не в текстовом формате было извлечено…
Имя     : 12 недель.jpg
Тип     : image/jpeg
Размер  : 46475 байтов
Описание: отсутствует
Url     : http://weborto.net:8080/pipermail/ortho/attachments/20140915/4c29b5bf/attachment-0029.jpg 
----------- следущая часть -----------
Вложение не в текстовом формате было извлечено…
Имя     : внешнии? вид (1).jpg
Тип     : image/jpeg
Размер  : 71368 байтов
Описание: отсутствует
Url     : http://weborto.net:8080/pipermail/ortho/attachments/20140915/4c29b5bf/attachment-0030.jpg 
----------- следущая часть -----------
Вложение не в текстовом формате было извлечено…
Имя     : внешнии? вид (2).jpg
Тип     : image/jpeg
Размер  : 82405 байтов
Описание: отсутствует
Url     : http://weborto.net:8080/pipermail/ortho/attachments/20140915/4c29b5bf/attachment-0031.jpg 
----------- следущая часть -----------
Вложение не в текстовом формате было извлечено…
Имя     : до лечения.jpg
Тип     : image/jpeg
Размер  : 63770 байтов
Описание: отсутствует
Url     : http://weborto.net:8080/pipermail/ortho/attachments/20140915/4c29b5bf/attachment-0032.jpg 
----------- следущая часть -----------
Вложение не в текстовом формате было извлечено…
Имя     : до опер прям.jpg
Тип     : image/jpeg
Размер  : 61014 байтов
Описание: отсутствует
Url     : http://weborto.net:8080/pipermail/ortho/attachments/20140915/4c29b5bf/attachment-0033.jpg 
----------- следущая часть -----------
Вложение не в текстовом формате было извлечено…
Имя     : после опер (2).jpg
Тип     : image/jpeg
Размер  : 49642 байтов
Описание: отсутствует
Url     : http://weborto.net:8080/pipermail/ortho/attachments/20140915/4c29b5bf/attachment-0034.jpg 
----------- следущая часть -----------
Вложение не в текстовом формате было извлечено…
Имя     : после опер.jpg
Тип     : image/jpeg
Размер  : 45528 байтов
Описание: отсутствует
Url     : http://weborto.net:8080/pipermail/ortho/attachments/20140915/4c29b5bf/attachment-0035.jpg 
----------- следущая часть -----------
Вложение не в текстовом формате было извлечено…
Имя     : после опер2.jpg
Тип     : image/jpeg
Размер  : 53405 байтов
Описание: отсутствует
Url     : http://weborto.net:8080/pipermail/ortho/attachments/20140915/4c29b5bf/attachment-0036.jpg 
----------- следущая часть -----------
Вложение не в текстовом формате было извлечено…
Имя     : после опер3.jpg
Тип     : image/jpeg
Размер  : 53819 байтов
Описание: отсутствует
Url     : http://weborto.net:8080/pipermail/ortho/attachments/20140915/4c29b5bf/attachment-0037.jpg 


Подробная информация о списке рассылки Ortho