[Ortho] После остеосинтеза лодыжек

Vasily Gagarin orthoforum на weborto.net
Сб Сен 20 23:53:17 YEKST 2014


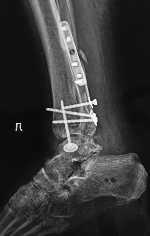
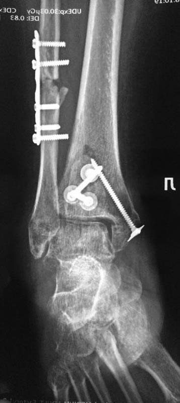
А вот такую задачку нам задали друзья с севера. Операция в мае этого 
года. На данный момент пациент опереться на конечность не может.

Возраст: за 50. Движений в голеностопном суставе практически нет ( в 
пределах 10-15 градусов) суставы стопы функционируют. Умеренная 
контрактура. Ходит с костылями, приступает на ногу. Нагрузка не по оси. 
Внешний вид: застарелый отек.
Да, и забыл отметить. Обратите внимание на синтез заднего края. Доступ с 
отсечением ахилла
Vasily Gagarin


----------- следущая часть -----------
Вложение не в текстовом формате было извлечено…
Имя     : 10620820_706314416116651_6177658890324258981_n.jpg
Тип     : image/jpeg
Размер  : 54878 байтов
Описание: отсутствует
Url     : http://weborto.net:8080/pipermail/ortho/attachments/20140920/c24d2eb8/attachment-0002.jpg 
----------- следущая часть -----------
Вложение не в текстовом формате было извлечено…
Имя     : 10710543_706314446116648_6142555216132313545_n.jpg
Тип     : image/jpeg
Размер  : 52458 байтов
Описание: отсутствует
Url     : http://weborto.net:8080/pipermail/ortho/attachments/20140920/c24d2eb8/attachment-0003.jpg 


Подробная информация о списке рассылки Ortho