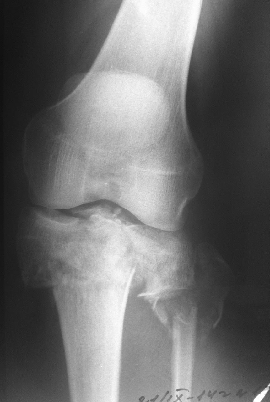
[Ortho] Перелом проксимального отдела большеберцовой - помогите с доступом

Алексей orthoforum на weborto.net
Сб Сен 27 16:56:16 YEKST 2014


Вот и вторая проекция.
Алексей

----------- следущая часть -----------
Вложение не в текстовом формате было извлечено…
Имя     : IMG_1503.JPG
Тип     : image/jpeg
Размер  : 105996 байтов
Описание: отсутствует
Url     : http://weborto.net:8080/pipermail/ortho/attachments/20140927/2478fc98/attachment-0001.jpeg 


Подробная информация о списке рассылки Ortho