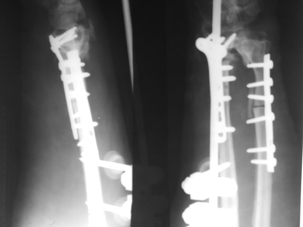
[Ortho] Неоартроз дистального метаэпифиза правой лучевой кости

Oleg Afanasyev orthoforum на weborto.net
Сб Апр 11 11:01:09 YEKST 2015


Спасибо за помощь. Результаты оперативного лечения.
Oleg  Afanasyev

----------- следущая часть -----------
Вложение не в текстовом формате было извлечено…
Имя     : 20150407_141042.jpg
Тип     : image/jpeg
Размер  : 55546 байтов
Описание: отсутствует
Url     : http://weborto.net:8080/pipermail/ortho/attachments/20150411/9ac51f2b/attachment-0001.jpg 


Подробная информация о списке рассылки Ortho