[Ortho] Снимок т/б сустава

Zinchuk orthoforum на weborto.net
Ср Апр 15 10:39:57 YEKST 2015


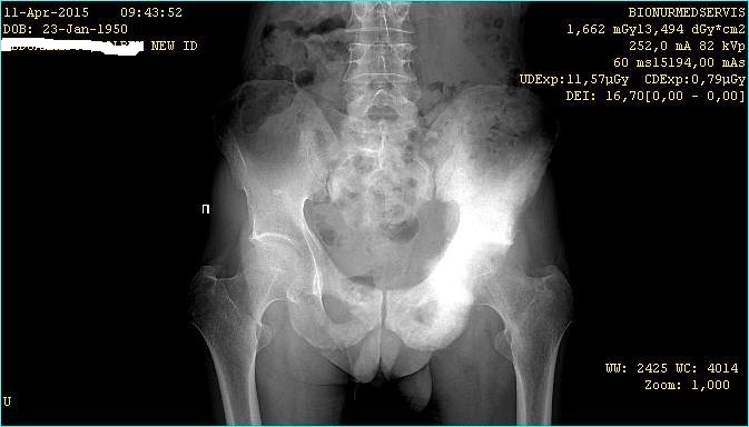
Прошу помощи в анализе представленного снимка.

Христос Воскресе! Здравствуйте уважаемые коллеги. Хочу просить помощи в 
анализе
представленного снимка. Пациент прислал по сети и попросили 
прокомментировать. У меня возникли затруднения с дифференцировкой 
данного новообразования и поэтому прошу помощи коллег, возможно, кто-то 
встречал в своей практике подобные случаи.
Zinchuk


----------- следущая часть -----------
Вложение не в текстовом формате было извлечено…
Имя     : image-2.jpg
Тип     : image/jpeg
Размер  : 60106 байтов
Описание: отсутствует
Url     : http://weborto.net:8080/pipermail/ortho/attachments/20150415/f6991724/attachment-0001.jpg 


Подробная информация о списке рассылки Ortho