[Ortho] Метод операции

Сергей orthoforum на weborto.net
Пн Апр 20 22:40:28 YEKST 2015


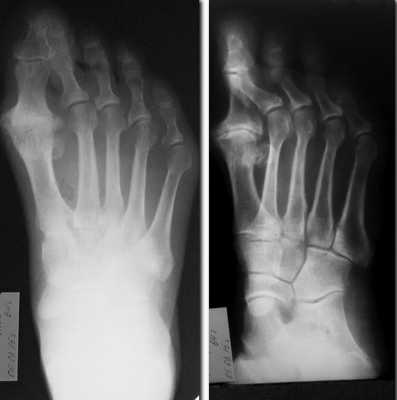
Уважаемые коллеги!

Так получается, что нужно завтра прооперировать больную. Планирую 
операцию: Лапидус.
Может быть нужна другая операция? Возраст 63 года.Спасибо.
Сергей


----------- следущая часть -----------
Вложение не в текстовом формате было извлечено…
Имя     : 2015-04-20_225542.jpg
Тип     : image/jpeg
Размер  : 48605 байтов
Описание: отсутствует
Url     : http://weborto.net:8080/pipermail/ortho/attachments/20150420/52d2f3e9/attachment-0001.jpg 


Подробная информация о списке рассылки Ortho