[Ortho] Перелом костей предплечья, замедленная консолидация

Андрей orthoforum на weborto.net
Вт Апр 21 12:53:06 YEKST 2015


Помогите определиться с тактикой лечения

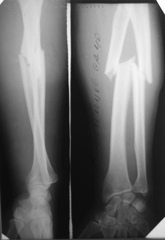
Пациент 1974 г.р., получил травму в конце января 2015 года- закрытый 
перелом обеих костей левого предплечья в результате падения на руку 
тяжелого предмета- ствола дерева (снимок 1). 03.02.15 оперирован- 
остеосинтез обеих костей левого предплечья пластинами (снимков 
непосредственно после операции не нашел) . Послеоперационный период 
гладкий, выписан на амбулаторное долечивание. Проводилась иммобилизация 
гипсовым лонгетом и косыночной повязкой в течение полутора месяцев, ЛФК 
для кисти, затем начат курс ЛФК для локтевого сустава. Был на 
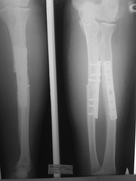
контрольном осмотре в марте 2015,особых жалоб не предъявлял, проводилось 
ФТЛ, ЛФК по месту жительства (снимок 2).
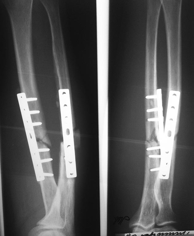
21.04.15 явился на консультативный прием с жалобами на боль в области 
перелома при выполнении ЛФК. Выполнена контрольная Р-графия (снимок 3), 
признаки консолидации сомнительны.
Прошу помощи уважаемого сообщества по дальнейшей тактике лечения.
Андрей


----------- следущая часть -----------
Вложение не в текстовом формате было извлечено…
Имя     : 1.jpg
Тип     : image/jpeg
Размер  : 46691 байтов
Описание: отсутствует
Url     : http://weborto.net:8080/pipermail/ortho/attachments/20150421/eb56ad05/attachment-0003.jpg 
----------- следущая часть -----------
Вложение не в текстовом формате было извлечено…
Имя     : 2.jpg
Тип     : image/jpeg
Размер  : 42732 байтов
Описание: отсутствует
Url     : http://weborto.net:8080/pipermail/ortho/attachments/20150421/eb56ad05/attachment-0004.jpg 
----------- следущая часть -----------
Вложение не в текстовом формате было извлечено…
Имя     : 3.jpg
Тип     : image/jpeg
Размер  : 61817 байтов
Описание: отсутствует
Url     : http://weborto.net:8080/pipermail/ortho/attachments/20150421/eb56ad05/attachment-0005.jpg 


Подробная информация о списке рассылки Ortho