[Ortho] ДЦП, подросток

Др.Бахтамян orthoforum на weborto.net
Пт Апр 24 18:15:49 YEKST 2015


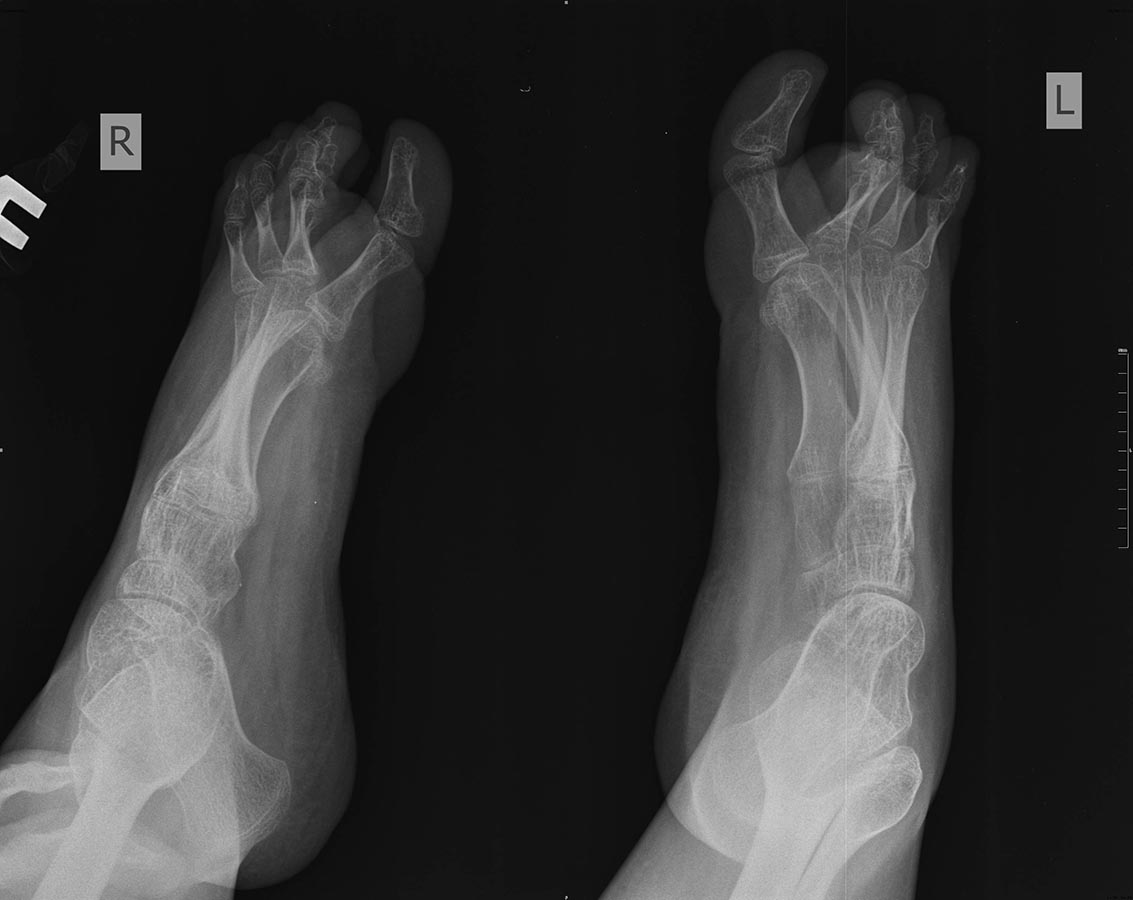
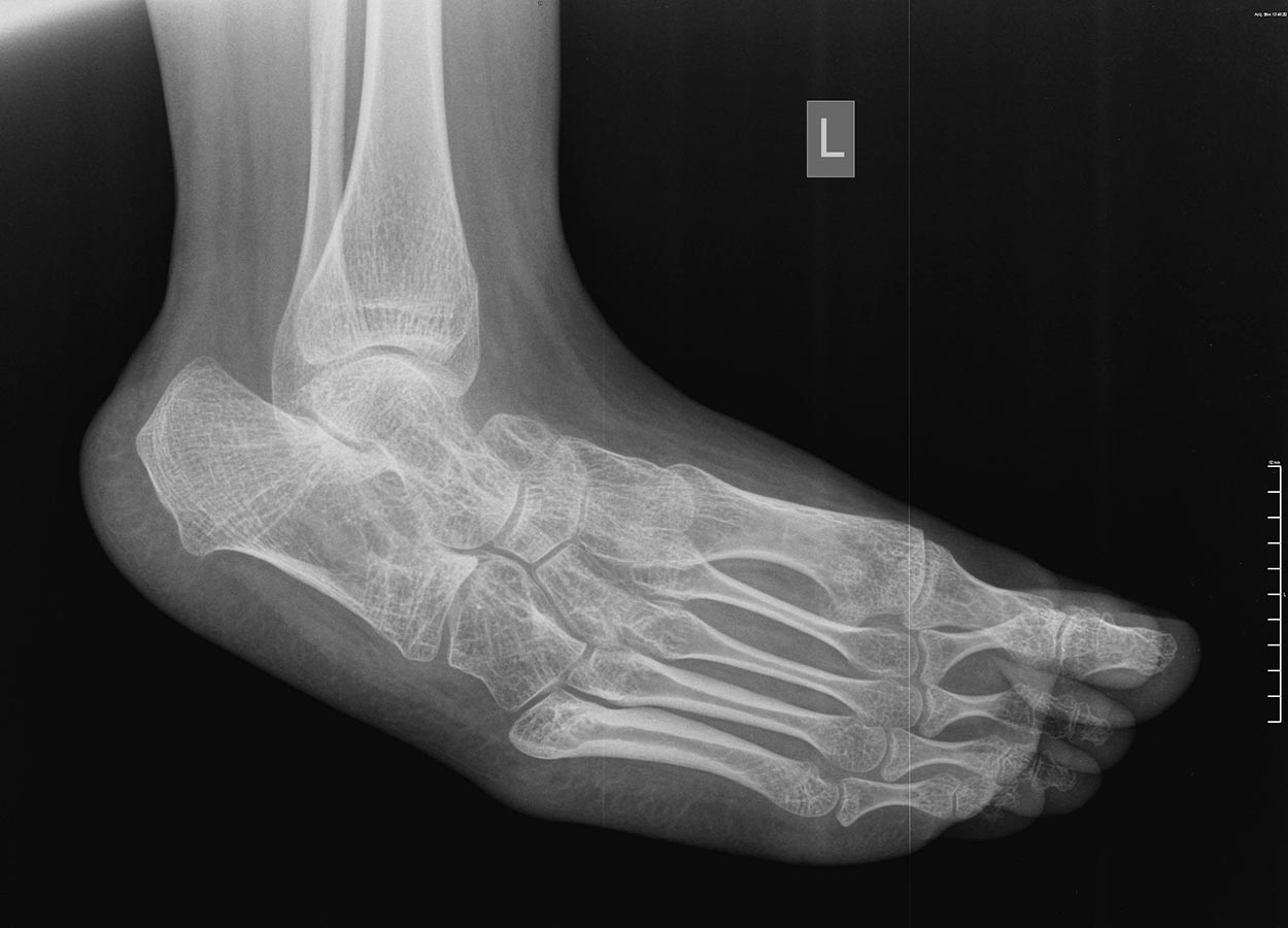
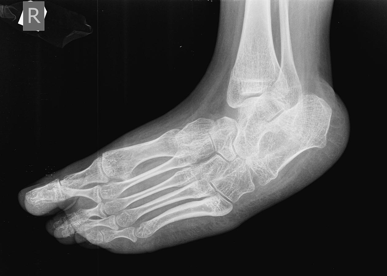
Девочка 15-и лет, страдает ДЦП, квадриплегия, хорошо "разработана", в 
8-и летнем возрасте была проведена тенотомия икроножных мышц в 
подколенной ямке и приводящих, периодически проходит агрессивную 
разработку. До последнего времни могла ходит при помощи палочки, на
ногах AFO. Последний год из-за выраженной эквино-варусной деформации 
обеих стоп не может носить ортезы и всвязи с этим ходит при помощи 
поддержки матери, стала "колясочной". Учится на отлично! Пассивно стопы 
выводятся из эквинуса спокойно, до +5 градусов тыльного
сгибания, в подтаранных суставах пассивные движения отсутствуют, 
ригидные. Была возможность выехать в Штаты на лечение, однако, в 
посольстве "зарубили"... Ваши предложения насчет оперативного лечения
Др.Бахтамян


----------- следущая часть -----------
Вложение не в текстовом формате было извлечено…
Имя     : CR_20140708_134708_1.jpg
Тип     : image/jpeg
Размер  : 107946 байтов
Описание: отсутствует
Url     : http://weborto.net:8080/pipermail/ortho/attachments/20150424/5217339d/attachment-0004.jpg 
----------- следущая часть -----------
Вложение не в текстовом формате было извлечено…
Имя     : CR_20140708_134820_1.jpg
Тип     : image/jpeg
Размер  : 102547 байтов
Описание: отсутствует
Url     : http://weborto.net:8080/pipermail/ortho/attachments/20150424/5217339d/attachment-0005.jpg 
----------- следущая часть -----------
Вложение не в текстовом формате было извлечено…
Имя     : CR_20140708_135221_1.jpg
Тип     : image/jpeg
Размер  : 80966 байтов
Описание: отсутствует
Url     : http://weborto.net:8080/pipermail/ortho/attachments/20150424/5217339d/attachment-0006.jpg 
----------- следущая часть -----------
Вложение не в текстовом формате было извлечено…
Имя     : F2.large.jpg
Тип     : image/jpeg
Размер  : 223309 байтов
Описание: отсутствует
Url     : http://weborto.net:8080/pipermail/ortho/attachments/20150424/5217339d/attachment-0007.jpg 


Подробная информация о списке рассылки Ortho