[Ortho] Вывих головки луча

Абдурашид orthoforum на weborto.net
Вс Апр 26 00:26:22 YEKST 2015


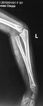
Обратилась девочка 2010г.р., 8 месяцев назад в результате падения на 
руку получила травму, гипсовая повязка , которую сняли через неделя и 
дальше не лечилась, со слов матери постепенно нарастает деформация.
				
Объективно отмечается волярное выбухание головки лучевой кости, и 
гиперэкстензия в локтевом суставе, функция почти не нарушена, супинация 
и пронация сохранены. Какой-то чувство, что возможно была разгибательный 
переломо-вывих Монтеджа. Фото руки и Р-снимки представляются.

Мать спрашивает, будет ли деформация еще увеличиваться, и если да, на 
операцию согласны.

В плане корригируюшая остетотомия на уровне с-в/з локтевой кости с 
восстановлением дуги локтевой кости ( сначала измерить другую локтевую 
кость), фиксация - или пластина или и/м штифт., вправление вывиха 
головки луча, восстановление кольцевидной связки из местных тканей, 
временная фиксация спицей к локтевой кости.-это пока предварительно то, 
что пришло на ум сейчас!
Уважаемые коллеги? хотелось бы услышать Ваше мнение?

Абдурашид


----------- следущая часть -----------
Вложение не в текстовом формате было извлечено…
Имя     : 1.jpg
Тип     : image/jpeg
Размер  : 29843 байтов
Описание: отсутствует
Url     : http://weborto.net:8080/pipermail/ortho/attachments/20150425/b8367841/attachment-0005.jpg 
----------- следущая часть -----------
Вложение не в текстовом формате было извлечено…
Имя     : 2.jpg
Тип     : image/jpeg
Размер  : 30234 байтов
Описание: отсутствует
Url     : http://weborto.net:8080/pipermail/ortho/attachments/20150425/b8367841/attachment-0006.jpg 
----------- следущая часть -----------
Вложение не в текстовом формате было извлечено…
Имя     : 3.jpg
Тип     : image/jpeg
Размер  : 18219 байтов
Описание: отсутствует
Url     : http://weborto.net:8080/pipermail/ortho/attachments/20150425/b8367841/attachment-0007.jpg 
----------- следущая часть -----------
Вложение не в текстовом формате было извлечено…
Имя     : 4.jpg
Тип     : image/jpeg
Размер  : 17977 байтов
Описание: отсутствует
Url     : http://weborto.net:8080/pipermail/ortho/attachments/20150425/b8367841/attachment-0008.jpg 
----------- следущая часть -----------
Вложение не в текстовом формате было извлечено…
Имя     : 5.jpg
Тип     : image/jpeg
Размер  : 17851 байтов
Описание: отсутствует
Url     : http://weborto.net:8080/pipermail/ortho/attachments/20150425/b8367841/attachment-0009.jpg 


Подробная информация о списке рассылки Ortho