[Ortho] Коррекция стопы

Александр orthoforum на weborto.net
Пн Апр 27 22:40:45 YEKST 2015


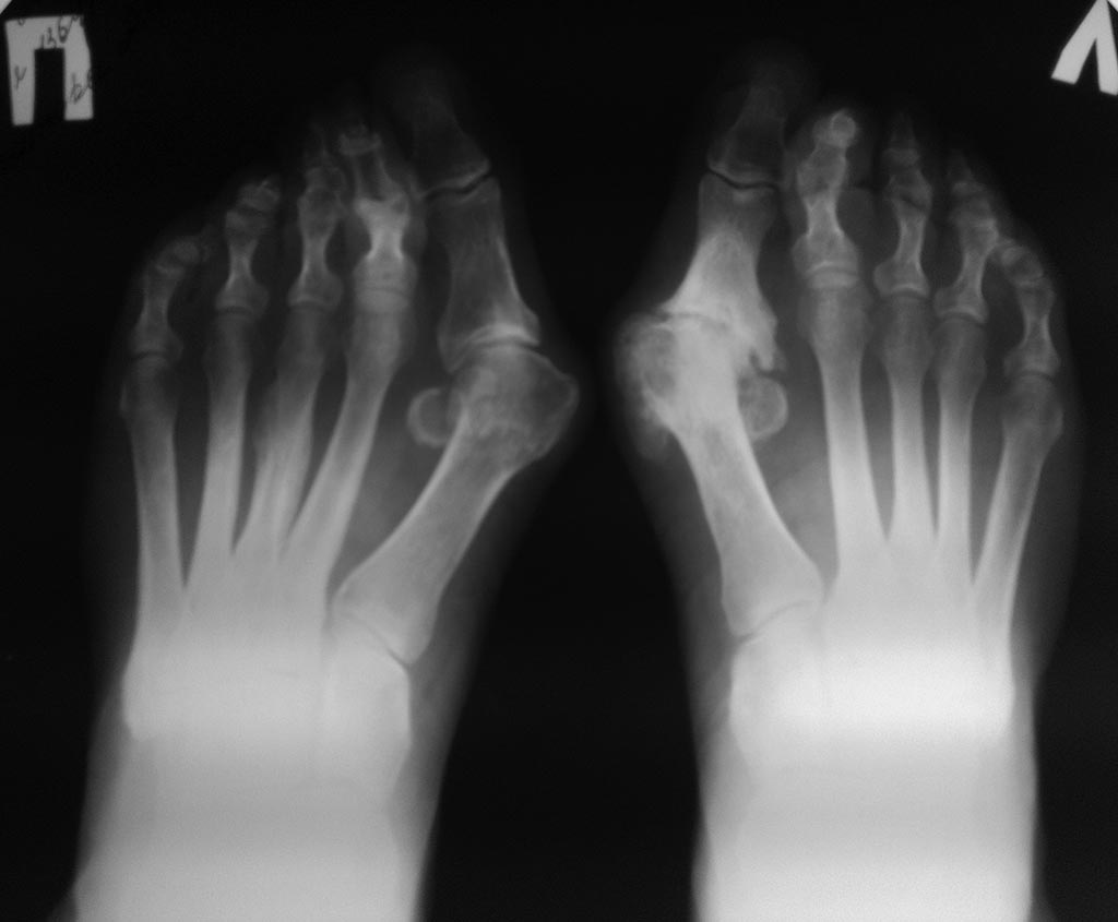
Женщина 60 лет,имеет деформацию пеереднего отдела обеих стоп в виде 
Hallux valgus, молоткообразной деформации вторых пальцев, артроза первых 
плюсне-фаланговых и других суставов. Каков может быть объем коррекции 
стоп, с учетом артроза слева?
Александр


----------- следущая часть -----------
Вложение не в текстовом формате было извлечено…
Имя     : IMAG1832.jpg
Тип     : image/jpeg
Размер  : 54766 байтов
Описание: отсутствует
Url     : http://weborto.net:8080/pipermail/ortho/attachments/20150427/28a91837/attachment-0004.jpg 
----------- следущая часть -----------
Вложение не в текстовом формате было извлечено…
Имя     : IMAG1833.jpg
Тип     : image/jpeg
Размер  : 93675 байтов
Описание: отсутствует
Url     : http://weborto.net:8080/pipermail/ortho/attachments/20150427/28a91837/attachment-0005.jpg 
----------- следущая часть -----------
Вложение не в текстовом формате было извлечено…
Имя     : IMAG1834.jpg
Тип     : image/jpeg
Размер  : 47242 байтов
Описание: отсутствует
Url     : http://weborto.net:8080/pipermail/ortho/attachments/20150427/28a91837/attachment-0006.jpg 
----------- следущая часть -----------
Вложение не в текстовом формате было извлечено…
Имя     : IMAG1835.jpg
Тип     : image/jpeg
Размер  : 94405 байтов
Описание: отсутствует
Url     : http://weborto.net:8080/pipermail/ortho/attachments/20150427/28a91837/attachment-0007.jpg 


Подробная информация о списке рассылки Ortho