[Ortho] Тугой ложный сустав большеберцовой кости

Абдурашидa orthoforum на weborto.net
Чт Апр 30 23:32:00 YEKST 2015


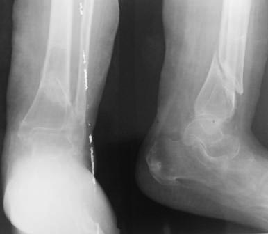
     Госпитализирована женщина 52 года, 9 месяцев назад произведена КДО 
аппаратом Илизарова по поводу косого перелома  дистального метадиафиза 
костей левой голени,  образовался  тугой ложный сустав.
В плане БИОС реконструктивным стержнем,  уважаемые коллеги какие будут 
мнение? ,
С уважением  Абдурашид.


----------- следущая часть -----------
Вложение не в текстовом формате было извлечено…
Имя     : 20150428_140518.jpg
Тип     : image/jpeg
Размер  : 31771 байтов
Описание: отсутствует
Url     : http://weborto.net:8080/pipermail/ortho/attachments/20150430/ccd370bd/attachment-0003.jpg 
----------- следущая часть -----------
Вложение не в текстовом формате было извлечено…
Имя     : 20150428_141034.jpg
Тип     : image/jpeg
Размер  : 17802 байтов
Описание: отсутствует
Url     : http://weborto.net:8080/pipermail/ortho/attachments/20150430/ccd370bd/attachment-0004.jpg 
----------- следущая часть -----------
Вложение не в текстовом формате было извлечено…
Имя     : 20150428_141120.jpg
Тип     : image/jpeg
Размер  : 18663 байтов
Описание: отсутствует
Url     : http://weborto.net:8080/pipermail/ortho/attachments/20150430/ccd370bd/attachment-0005.jpg 


Подробная информация о списке рассылки Ortho