[Ortho] артродез или остеосинтез

Андрей orthoforum на weborto.net
Чт Авг 6 16:16:33 YEKST 2015


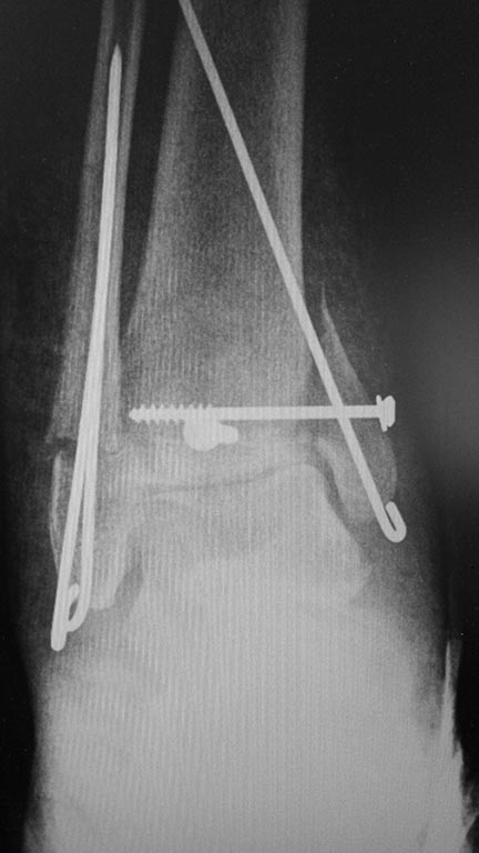
Мужчина, 1987 г.р. получил травму 10.2014. ДТП. Закрытый двухлодыжечный 
перелом костей костей левой голени, перелом заднего края большеберцовой 
кости с подвывихом стопы кзади, кнаружи. Наложен дистрактор.

Операция 10.2014: закрытая репозиция, остеосинтез спицами,
винтами. В дальнейшем произошло ожидаемое усугубление нарушений 
взаимоотношений в голеностопном суставе.

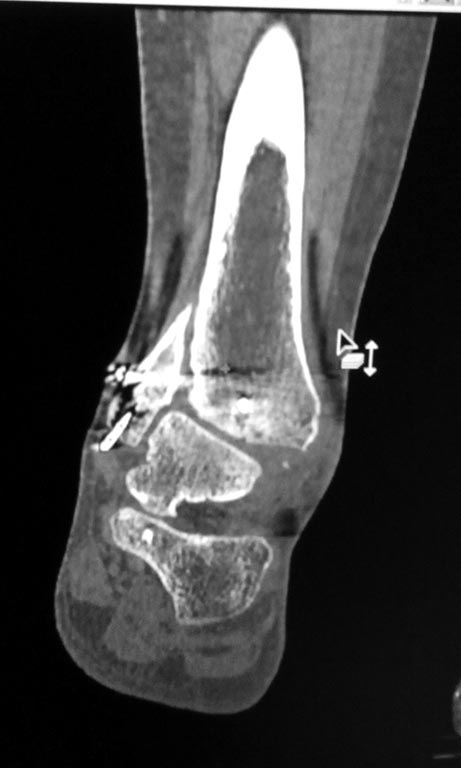
На момент обращения: жалобы на боль в левом голеностопном суставе. 
Работать не может (работает водителем). Без дополнительной опоры может 
пройти до 20-30 метров. Отечности мягких тканей нет.

Какой план лечения,на Ваш взгляд, предпочтительнее в данном случае? 
Возможно ли одномоментно устранить подвывих или только на аппарате 
Иллизарова? Первичные снимки после травмы отсутствуют. Критично ли
"растоптана" латеральная суставная поверхность большеберцовой кости?
Андрей


----------- следущая часть -----------
Вложение не в текстовом формате было извлечено…
Имя     : IMG_20150712_115401.jpg
Тип     : image/jpeg
Размер  : 32391 байтов
Описание: отсутствует
Url     : http://weborto.net:8080/pipermail/ortho/attachments/20150806/6ede96d8/attachment-0011.jpg 
----------- следущая часть -----------
Вложение не в текстовом формате было извлечено…
Имя     : IMG_20150712_115407.jpg
Тип     : image/jpeg
Размер  : 50193 байтов
Описание: отсутствует
Url     : http://weborto.net:8080/pipermail/ortho/attachments/20150806/6ede96d8/attachment-0012.jpg 
----------- следущая часть -----------
Вложение не в текстовом формате было извлечено…
Имя     : IMG_20150805_105608.jpg
Тип     : image/jpeg
Размер  : 107194 байтов
Описание: отсутствует
Url     : http://weborto.net:8080/pipermail/ortho/attachments/20150806/6ede96d8/attachment-0013.jpg 
----------- следущая часть -----------
Вложение не в текстовом формате было извлечено…
Имя     : IMG_20150805_105919.jpg
Тип     : image/jpeg
Размер  : 47856 байтов
Описание: отсутствует
Url     : http://weborto.net:8080/pipermail/ortho/attachments/20150806/6ede96d8/attachment-0014.jpg 
----------- следущая часть -----------
Вложение не в текстовом формате было извлечено…
Имя     : IMG_20150805_110004.jpg
Тип     : image/jpeg
Размер  : 103603 байтов
Описание: отсутствует
Url     : http://weborto.net:8080/pipermail/ortho/attachments/20150806/6ede96d8/attachment-0015.jpg 
----------- следущая часть -----------
Вложение не в текстовом формате было извлечено…
Имя     : IMG_20150805_110035.jpg
Тип     : image/jpeg
Размер  : 48983 байтов
Описание: отсутствует
Url     : http://weborto.net:8080/pipermail/ortho/attachments/20150806/6ede96d8/attachment-0016.jpg 
----------- следущая часть -----------
Вложение не в текстовом формате было извлечено…
Имя     : IMG_20150805_110221.jpg
Тип     : image/jpeg
Размер  : 50983 байтов
Описание: отсутствует
Url     : http://weborto.net:8080/pipermail/ortho/attachments/20150806/6ede96d8/attachment-0017.jpg 
----------- следущая часть -----------
Вложение не в текстовом формате было извлечено…
Имя     : IMG_20150805_125731.jpg
Тип     : image/jpeg
Размер  : 44077 байтов
Описание: отсутствует
Url     : http://weborto.net:8080/pipermail/ortho/attachments/20150806/6ede96d8/attachment-0018.jpg 
----------- следущая часть -----------
Вложение не в текстовом формате было извлечено…
Имя     : IMG_20150805_125738.jpg
Тип     : image/jpeg
Размер  : 38343 байтов
Описание: отсутствует
Url     : http://weborto.net:8080/pipermail/ortho/attachments/20150806/6ede96d8/attachment-0019.jpg 
----------- следущая часть -----------
Вложение не в текстовом формате было извлечено…
Имя     : IMG_20150805_125809.jpg
Тип     : image/jpeg
Размер  : 55188 байтов
Описание: отсутствует
Url     : http://weborto.net:8080/pipermail/ortho/attachments/20150806/6ede96d8/attachment-0020.jpg 
----------- следущая часть -----------
Вложение не в текстовом формате было извлечено…
Имя     : IMG_20150805_125813.jpg
Тип     : image/jpeg
Размер  : 58392 байтов
Описание: отсутствует
Url     : http://weborto.net:8080/pipermail/ortho/attachments/20150806/6ede96d8/attachment-0021.jpg 
----------- следущая часть -----------
Вложение не в текстовом формате было извлечено…
Имя     : IMG_20150805_130413.JPG
Тип     : image/jpeg
Размер  : 49876 байтов
Описание: отсутствует
Url     : http://weborto.net:8080/pipermail/ortho/attachments/20150806/6ede96d8/attachment-0002.jpeg 
----------- следущая часть -----------
Вложение не в текстовом формате было извлечено…
Имя     : IMG_20150805_130456.JPG
Тип     : image/jpeg
Размер  : 50387 байтов
Описание: отсутствует
Url     : http://weborto.net:8080/pipermail/ortho/attachments/20150806/6ede96d8/attachment-0003.jpeg 


Подробная информация о списке рассылки Ortho