[Ortho] артродез или остеосинтез

Бережной Сергей orthoforum на weborto.net
Вс Авг 9 16:33:58 YEKST 2015


Мне кажется, что вопрос, поставленный Вами: "Возможно ли одномоментно 
устранить подвывих или только на аппарате Иллизарова?", отражает не 
совсем ясное понимание ситуации. Что значит устранить подвывих? А 
пластику ложных суставов внутренней лодыжки и заднего края 
большеберцовой кости не нужно делать? И ось голеностопного сустава нужно 
исправлять. То есть делать остеотомию наружной лодыжки (если она 
срослась, по снимку не очень понял). Артродез голеностопного сустава в 
такой ситуации очень сложен. Если же добиться сращения всех переломов в 
правильном положении, артродез вполне можно отсрочить на несколько лет, 
что для молодого пациента достаточно важно. Но в конечном счете все 
определяется Вашим умением и ясным представлением того, чего Вы хотите 
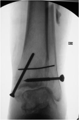
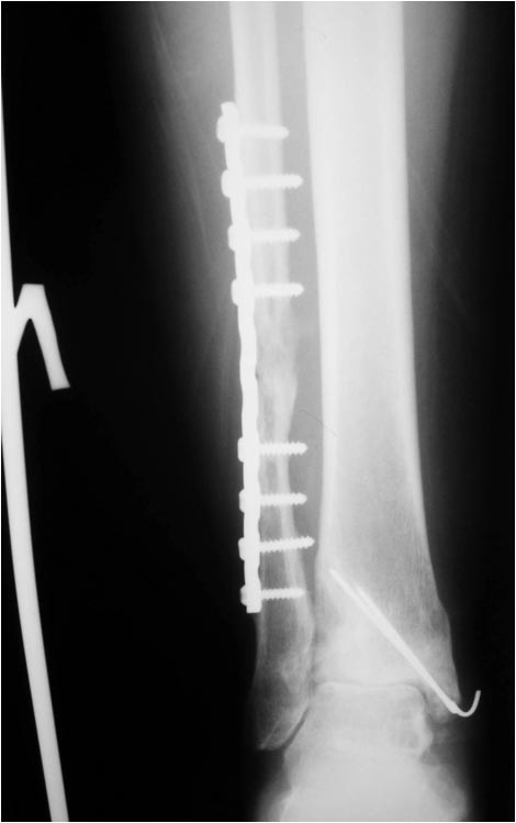
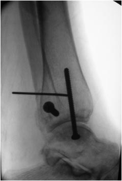
добиться своей операцией. Во вложении - в чем-то похожий случай. 
Оперировал эту пациентку 23 лет 11 лет назад через 8 месяцев после 
похожего на представленный Вами остеосинтез. На первой операции перелом 
малоберцовой кости в нижней трети был просто не замечен. За счет 
восстановления оси быстро развившийся артроз протекал благоприятно. В 
результате артродез был выполнен только в прошлом году, через 10 лет 
после второй операции. И боли беспокоили пациентку только в течение года 
перед артродезом.
Бережной Сергей


----------- следущая часть -----------
Вложение не в текстовом формате было извлечено…
Имя     : image002 copy.jpg
Тип     : image/jpeg
Размер  : 28389 байтов
Описание: отсутствует
Url     : http://weborto.net:8080/pipermail/ortho/attachments/20150809/a3ff8aea/attachment-0003.jpg 
----------- следущая часть -----------
Вложение не в текстовом формате было извлечено…
Имя     : image004 copy.jpg
Тип     : image/jpeg
Размер  : 20352 байтов
Описание: отсутствует
Url     : http://weborto.net:8080/pipermail/ortho/attachments/20150809/a3ff8aea/attachment-0004.jpg 
----------- следущая часть -----------
Вложение не в текстовом формате было извлечено…
Имя     : image006 copy.jpg
Тип     : image/jpeg
Размер  : 35193 байтов
Описание: отсутствует
Url     : http://weborto.net:8080/pipermail/ortho/attachments/20150809/a3ff8aea/attachment-0005.jpg 


Подробная информация о списке рассылки Ortho