[Ortho] Hallux abductovalgus

Виктор orthoforum на weborto.net
Сб Авг 22 22:23:13 YEKST 2015


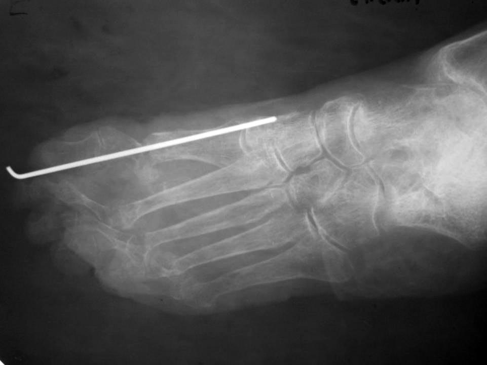
Пациентке выполнен артродез 1-ого плюснефалангового сустава, резекции 
говок 2-3 плюсневых костей, субкапитальная остеотомия 4 плюсневой кости, 
тенотомиии разгибаталей 2-5 п. стопы. Раны зажили первичным натяжением.
Выражаю огромную признательность Бережному С.Ю. за огромную 
консультативную помощь  по данному случаю.
Виктор


----------- следущая часть -----------
Вложение не в текстовом формате было извлечено…
Имя     : IMG_0939_961x721.jpg
Тип     : image/jpeg
Размер  : 44298 байтов
Описание: отсутствует
Url     : http://weborto.net:8080/pipermail/ortho/attachments/20150822/7718183e/attachment-0005.jpg 
----------- следущая часть -----------
Вложение не в текстовом формате было извлечено…
Имя     : IMG_0940_961x721.jpg
Тип     : image/jpeg
Размер  : 44688 байтов
Описание: отсутствует
Url     : http://weborto.net:8080/pipermail/ortho/attachments/20150822/7718183e/attachment-0006.jpg 
----------- следущая часть -----------
Вложение не в текстовом формате было извлечено…
Имя     : IMG_0968_961x1281.jpg
Тип     : image/jpeg
Размер  : 75762 байтов
Описание: отсутствует
Url     : http://weborto.net:8080/pipermail/ortho/attachments/20150822/7718183e/attachment-0007.jpg 
----------- следущая часть -----------
Вложение не в текстовом формате было извлечено…
Имя     : IMG_0969_961x721.jpg
Тип     : image/jpeg
Размер  : 46402 байтов
Описание: отсутствует
Url     : http://weborto.net:8080/pipermail/ortho/attachments/20150822/7718183e/attachment-0008.jpg 
----------- следущая часть -----------
Вложение не в текстовом формате было извлечено…
Имя     : IMG_0971_961x721.jpg
Тип     : image/jpeg
Размер  : 43075 байтов
Описание: отсутствует
Url     : http://weborto.net:8080/pipermail/ortho/attachments/20150822/7718183e/attachment-0009.jpg 


Подробная информация о списке рассылки Ortho