[Ortho] Перелом сегонда.

Арслан Дуйсенбаев orthoforum на weborto.net
Вт Дек 1 16:23:20 YEKT 2015


Уважаемые коллеги! Хотел бы услышать Ваше мнение, а также помочь с 
тактикой ведения.

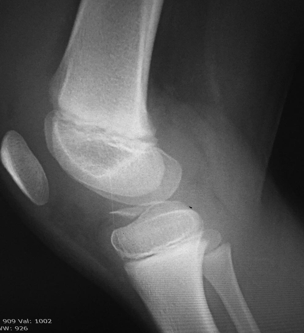
Пациент 8 лет, девочка. Перелом межмыщелкового возвышения по 2 типу. 
Есть артроскоп, но все что мы можем сделать это диагностика, к 
сожалению. Кто имеет опыт, подскажите, как лучше поступить. Заранее 
благодарю.
Арслан Дуйсенбаев


----------- следущая часть -----------
Вложение не в текстовом формате было извлечено…
Имя     : image.jpg
Тип     : image/jpeg
Размер  : 116090 байтов
Описание: отсутствует
Url     : http://weborto.net:8080/pipermail/ortho/attachments/20151201/5e29d0e4/attachment-0001.jpg 


Подробная информация о списке рассылки Ortho